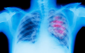
Жидкость в легких при онкологии
Вода в легком при развитии онкологического процесса скапливается в плевральной полости (развивается плеврит) или в легочных тканях (развивается отёк легких).

Отёк легких — это накопление чрезмерного количества экссудата в легочных тканях. Лечится отёк в легком при раке очень тяжело и малоэффективно. Во многих случаях удаётся достичь всего лишь недлительного и кратковременного облегчения. Воду в легком при онкологии можно обнаружить в любой стадии болезни.
Чаще всего жидкость скапливается в небольшом пространстве между плевральными листами, а не в самом легком. Первый её листок изнутри покрывает всю грудную клетку. Второй лист полностью выстилает поверхность легких, исполняет защитную функцию и обеспечивает их плотную герметичность. Между плевральными листками, при нормальном физиологическом состоянии, находится совсем малое количество жидкости. Она помогает легким нормально двигаться при дыхании.
При раке, в легком жидкость накапливается постепенно и в очень больших количествах, а это препятствует нормальному его движению и содействует развитию нарастающей дыхательной недостаточности.
Причины развития
В конечной стадии рака наблюдается развитие отека легких, а он очень плохо поддаётся лечению.Развивается отек в результате исчерпания всех резервов человеческого организма, что говорит о полном его истощении. Данное состояние развивается вместе с другими неотложными состояниями, например, с сердечно-сосудистой или же другой органной недостаточностью. Как раз эти осложнения и являются самой частой причиной смертельного исхода при раке.
К основным причинам возникновения злокачественного плеврита относятся:
- Развитие осложнений после лучевой терапии или после проведения радикальной тяжёлой операции по удалению органов.
- В результате разрастания первичной опухоли в ближайшие лимфатические узлы или при поражении метастазами затрудняется лимфоотток в лимфатические сосуды происходит скопление экссудата.
- Низкий уровень онкотического давления крови в результате критического снижения уровня общего белка, которое наблюдается в конечных стадиях развития любой онкологии.
- Отток лимфы затрудняется в результате закупорки грудного лимфатического процесса в легком.
- Повышенная проницаемость листков плевры.
- Частичное или полное закрытие просвета самого крупного бронха, в результате чего внутри плевральной полости уменьшается давление и происходит скопление жидкости.
Симптомы
Отек легких относиться к неотложным состояниям. Нередко он развивается внезапно на протяжении нескольких часов и при этом требует неотложной помощи специалиста. В самом начале больной человек чувствует клокотание за грудной клеткой и недостаток воздуха. Даже на небольшом расстоянии заметны шумное дыхание и громкая одышка.
При развитии данного состояния у больного развивается ярко выраженное двигательное беспокойство, в результате которого человек становиться беспокойным и пытается найти для себя удобное положение, но никак не получается.
Кожные покровы человека становятся бледными, и через некоторое время приобретают синий цвет. Влажный кашель считается одной из основных жалоб больного человека в данном состоянии. Отмечается отхождение большого количества пенистой бледно-розовой мокроты. Человеку с наличием всех данных симптомов надо как можно быстрее обратиться к специалисту за квалифицированной помощью.
При раке вода в плевральной полости скапливается на протяжении длительного времени. Часто именно признаки быстропрогрессирующего плеврита являются главной причиной, чтобы пройти медицинское обследование. Но, благодаря современной медицине, эффективное и успешное лечение плеврита становится возможным. Пациент, после лечения, может прожить ещё много месяцев.
На первоначальном этапе скопление жидкости при плеврите никак не чувствуется и ее можно обнаружить совершенно случайно, например, во время прохождения профилактического медицинского осмотра.
При накоплении экссудата в плевральной полости, больной ощущает следующее:
- кашель с небольшим выделением мокроты или просто сухой кашель;
- пациент ощущает сдавливание в легком и тяжесть;
- прогрессирующая одышка, которая способна усиливаться при самой малой физической нагрузке;
- иногда чувствуется боль в поражённом легком.
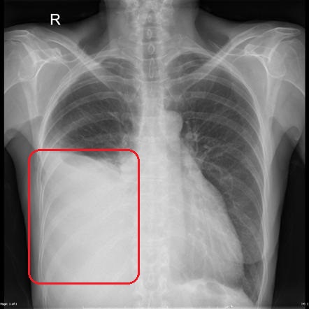
При проведении визуального осмотра пациента врач обращает особое внимание на поражённую половину грудной клетки, которая явно отстает при дыхании. При выстукивании врач обнаруживает в нижних отделах грудной клетки существенное укорочение звука, а в поражённой зоне полное отсутствие шумов дыхания. Обследуя грудную клетку методом рутинной рентгенографии можно с легкостью выявить классические признаки плеврита.
Благодаря современным методам лечения плеврит можно успешно устранить, в связи с чем должна увеличится продолжительность жизни больного человека.
Методы лечения
Для начала необходимо выяснить основную причину, то есть найти месторасположение опухоли и при первой же возможности её устранить. Хирургическое вмешательство при отеке легких не проводят, используют только лечение медикаментозными препаратами.
Для этого применяется много различных фармакологических средств:
- сердечные гликозиды (препараты, которые способны усилить сокращение миокарда) — коргликон, сторофантин и другие;
- препараты, которые расширяют гладкую мускулатуру бронхов (например, эуфиллин);
- диуретики — это препараты, которые стимулируют выведение жидкости с организма вместе с мочой (например, фуросемид и другие).
Лечение злокачественного плеврита при онкологии лёгких имеет очень много отличий от методики лечения отека легких. Практически во всех случаях консервативный метод и лечение медикаментозными средствами плеврального выпота являются неэффективными. Самым радикальным и, наверное, единственным способом, который способен облегчить состояние пациента, считается плевроцентез.
Плевроцентез
Плевроцентез
Это хирургическая операция по механическому удалению экссудата. Проводится он под местным обезболиванием. Специалист по верхнему краю ребра в 7-ом или 8-ом межреберье при помощи тонкой инъекционной иглы осторожно прокалывает плевральную полость. Потом он заменяет одну иглу на другую, которая присоединённая к трубе электроотсоса. Пациент с постепенным снижением уровня экссудата ощущает явное облегчение.
Но, эта операция не устраняет основной причины возникновения плеврита и неспособна исключить вторичного скопления экссудата в плевральной полости. Для больного повторное проведение операции плевроцетеза является очень мучительной. Также во многих случаях развиваются спайки, что ещё больше осложняет процесс течения главного заболевания.
Плевродез
Операция плевродеза в современной медицине пользуется огромной популярностью. Плевродез — это хирургическая операция в процессе проведения которой плевральную полость заполняют специальными средствами не допускающие вторичного образования жидкости. В виде склерозирующих препаратов используются цитостатики (например, эмбихин или цисплатин), иммуномодуляторы (например, интерлейкин), антимикробные препараты (тетрациклин) и радиозотопы.
Плеврит при злокачественных опухолях: значение симптома
Плеврит – это состояние, при котором в плевральной полости собирается жидкость, в обывательской среде называется «вода в легких» в медицине именуется «гидроторакс». В норме в полости присутствует до 10 мл жидкости. Она фильтруется из плазмы крови в верхних (апикальных) участках плевры, а дренируется (всасывается по лимфатическим сосудам) в диафрагмальной и медиастинальной части. Лимфоотток идет к лимфоузлам средостения и оттуда – в грудной лимфатический проток.
При многих состояниях это равновесие между фильтрацией и дренированием нарушается, и количество жидкости начинает нарастать.
Плеврит почти всегда вторичен, то есть он является осложнением течения многих различных заболеваний. Жидкость может быть экссудатом (воспалительный выпот) и транссудатом (невоспалительный характер).
Причины
Опухолевую природу выявляют в 15 – 25% от всех случаев плевритов (остальные приходятся на гидротораксы при сердечной недостаточности, инфекционные парапневмонические и туберкулезные), а у лиц старше 50 лет – у 40%. Жидкость в плевральной полости, чаще всего, это следствие метастазирования опухолей в плевру и лимфатические узлы, очень редко – первичное новообразование плевральных листков (мезотелиома).
Формирование опухолевых очагов из других органов происходит лимфогенным или гематогенным путем.
Чаще всего гидротораксом осложняется рак легкого (в 30 – 50% случаев), злокачественные образования молочной железы (в 45%), лимфомы (в 26%), карциномы яичников (В 10%). Новообразования других локализаций (желудка, кишечника, кожи и других органов) метастазируют в плевру реже. Выпот при мезотелиоме в структуре опухолевых плевритов составляет 5%.
Механизм образования
Метастазы опухолей в плевру имеют вид множественных рассеянных узелков или принимают характер ракового лимфангиита. На этом фоне повышается проницаемость капилляров и усиливается продукция жидкости, а дренирование замедляется.
Кроме самой плевры, опухоли формируют метастазы в лимфоузлах, что затрудняет отток лимфы. При массивных злокачественных эмболах «забивается» (обтурируется) грудной лимфатический проток.
Помимо прямого влияния, ЗНО опосредованно способствуют накоплению жидкости:
- На фоне раковой кахексии снижается количество белка в крови.
- При присоединении бактериальной инфекции развивается паранеопластическая пневмония.
- В случае развития перикардита, усугубляется сердечная недостаточность.
Плеврит при раке легких
- Обтурация опухолью бронха. За счет этого происходит «спадение» легочной ткани (формирование ателектаза) и давление в плевральной полости повышается.
- Прорастание первичного очага в плевру и диссеминация (обсеменение) по всей поверхности.
- Лимфогенное метастазирование.
- Поражение лимфоузлов средостения.
- Сдавливание образованием грудного протока, с развитием хилоторакса (скоплением лимфатического транссудата в плевральной полости).
- Развитие паранеопластической пневмонии.
- Действие лучевой или химиотерапии.
- Развитие тромбоэмболии легочной артерии (ТЭЛА).
Симптомы
- Появляется одышка: увеличивается частота дыхания, пациенты жалуются на ощущение нехватки воздуха.
- Возникают боли в грудной клетке, которые могут возникать вследствие сдавления жидкостью легкого, либо средостения.
- Больной ведет себя беспокойно. Он начинает искать то положение, которое поможет восстановить дыхание.
Чем больше собирается жидкости при раке легких, тем быстрее присоединяются и другие симптомы:
- усугубляются явления дыхательной недостаточности, пациент не может спать в горизонтальном положении — только в положении сидя;
- кожа бледнеет, постепенно приобретая синюшный оттенок (цианоз);
- больного мучает надрывный кашель, сначала сухой, затем присоединяется выделение мокроты;
Если при развитии перечисленных симптомов без промедления не начать лечение и мероприятия по устранению жидкости, то возможно наступление летального исхода.
Методы диагностики
Рентгенография. Дает возможность определить наличие жидкости, если ее количество составляет от 300 — 400 мл. Также данный метод позволяет обнаружить опухолевые очаги и метастазы, которые распространились в плевральную область и лимфатические узлы. Рентгенографию осуществляют и для контроля состояния пациента после процедуры эвакуации (удаления) жидкости из легких.
Компьютерная томография. Позволяет комплексно оценить состояние органов грудной клетки, наличие пораженных лимфатических узлов, степень распространенности опухоли.
Ультразвуковое исследование. Незаменимый метод для диагностики плеврита, т. к. позволяет выявить даже минимальные объёмы выпота. УЗИ не доставляет какого-либо дискомфорта пациенту и не требует подготовки.
Современная медицина располагает оборудованием для того, чтобы определить скопившуюся жидкость. А для выяснения причины данной патологии проводится пункция. Процедура осуществляется под местной анестезией при помощи тонкой иглы, которая вводится в область грудной клетки. Выполняется забор жидкости, которую отправляют на анализ в лабораторию.
Лечение
Медикаментозная терапия
- сердечные гликозиды (для усиления сокращений мышцы миокарда) — коргликон, строфантин и другие;
- средства, расширяющие гладкую мускулатуру бронхов (к примеру, эуфиллин);
- диуретики — препараты, способствующие выведению жидкости вместе с мочой (фуросемид).
Плевроцентез
Если медикаментозная терапия не дает ожидаемого результата, применяется плевральная пункция — вмешательство, во время которого выполянется механическое удаление накопившегося выпота. После обработки манипуляционного поля раствором антисептика и местного обезболивания, применяя тонкую инъекционную иглу, врач прокалывает (пунктирует) полость плевры в области верхнего края ребра в 7-ом или 8-ом межреберье. Затем он заменяет инъекционную иглу на большую по диаметру, присоединённую к электроотсосу. Как только происходит уменьшение объема экссудата, больной отмечает существенное облегчение состояния.
За одну пункцию не рекомендуется удалять более 1,5 л жидкости т.к. происходит смещение средостения, что может спровоцировать перебои в работе сердца. После удаления экссудата проводится рентгенологический контроль.
Следует знать, что данная манипуляция не устраняет причины, которая спровоцировала развитие данного патологического состояния. Именно поэтому возможно повторное накопление жидкости. При последующих манипуляциях часто развивается спаечный процесс в плевральной полости, а это в значительной степени осложняет лечение.
При рецидивах заболевания выполняют дренирование плевральной полости, с целью постоянного оттока скапливающейся жидкости.
Плевродез
Вид хирургической помощи. Это операция, при которой в полость плевры вводятся специальные вещества, вызывающие склеивание (склерозирование) плевральных листков, либо хирургическим путем обрабатывается плевра. Как результат — предотвращается повторное скопление жидкости. Данная процедура в современной медицине применяется чаще других, так как дает возможность больному получить эффективное лечение и предупредить рецидивы.
Анализ плевральной жидкости
Эвакуированный плевральный транссудат в последующем направляют на исследование. Гидроторакс при онкологии не является самостоятельным заболеванием. При подозрении на злокачественный процесс основной метод диагностики плевральной жидкости — цитологический. Врачи-цитологи при помощи микроскопии устанавливают, какие клетки содержатся в транссудате: чаще всего это эритроциты, лейкоциты и мезотелиоциты (клетки, выстилающие плевральную полость). При наличии выпота злокачественного характера в 80% случаев микроскопически определяются опухолевые клетки, что позволяет установить диагноз, оценить распространённость процесса и скорректировать дальнейшее лечение.
Прогноз
Все зависит от стадии основной патологии. В основном жидкость в плевральной полости при онкологических заболеваниях начинает образовываться тогда, когда злокачественный процесс находится на позднем этапе, а это значительно осложняет лечение. Если есть уже метастатические поражения, то прогноз неблагоприятен для больного. В других случаях угрозы для жизни пациента нет, если из плевральной полости жидкость была удалена своевременно. Но необходимо помнить, что наблюдение за такими больными должно быть систематическим.
Жидкость в легких при онкологии
Вода в легком при развитии онкологического процесса скапливается в плевральной полости (развивается плеврит) или в легочных тканях (развивается отёк легких).

Отёк легких — это накопление чрезмерного количества экссудата в легочных тканях. Лечится отёк в легком при раке очень тяжело и малоэффективно. Во многих случаях удаётся достичь всего лишь недлительного и кратковременного облегчения. Воду в легком при онкологии можно обнаружить в любой стадии болезни.
Чаще всего жидкость скапливается в небольшом пространстве между плевральными листами, а не в самом легком. Первый её листок изнутри покрывает всю грудную клетку. Второй лист полностью выстилает поверхность легких, исполняет защитную функцию и обеспечивает их плотную герметичность. Между плевральными листками, при нормальном физиологическом состоянии, находится совсем малое количество жидкости. Она помогает легким нормально двигаться при дыхании.
При раке, в легком жидкость накапливается постепенно и в очень больших количествах, а это препятствует нормальному его движению и содействует развитию нарастающей дыхательной недостаточности.
Причины развития
В конечной стадии рака наблюдается развитие отека легких, а он очень плохо поддаётся лечению.Развивается отек в результате исчерпания всех резервов человеческого организма, что говорит о полном его истощении. Данное состояние развивается вместе с другими неотложными состояниями, например, с сердечно-сосудистой или же другой органной недостаточностью. Как раз эти осложнения и являются самой частой причиной смертельного исхода при раке.
К основным причинам возникновения злокачественного плеврита относятся:
- Развитие осложнений после лучевой терапии или после проведения радикальной тяжёлой операции по удалению органов.
- В результате разрастания первичной опухоли в ближайшие лимфатические узлы или при поражении метастазами затрудняется лимфоотток в лимфатические сосуды происходит скопление экссудата.
- Низкий уровень онкотического давления крови в результате критического снижения уровня общего белка, которое наблюдается в конечных стадиях развития любой онкологии.
- Отток лимфы затрудняется в результате закупорки грудного лимфатического процесса в легком.
- Повышенная проницаемость листков плевры.
- Частичное или полное закрытие просвета самого крупного бронха, в результате чего внутри плевральной полости уменьшается давление и происходит скопление жидкости.
Симптомы
Отек легких относиться к неотложным состояниям. Нередко он развивается внезапно на протяжении нескольких часов и при этом требует неотложной помощи специалиста. В самом начале больной человек чувствует клокотание за грудной клеткой и недостаток воздуха. Даже на небольшом расстоянии заметны шумное дыхание и громкая одышка.
При развитии данного состояния у больного развивается ярко выраженное двигательное беспокойство, в результате которого человек становиться беспокойным и пытается найти для себя удобное положение, но никак не получается.
Кожные покровы человека становятся бледными, и через некоторое время приобретают синий цвет. Влажный кашель считается одной из основных жалоб больного человека в данном состоянии. Отмечается отхождение большого количества пенистой бледно-розовой мокроты. Человеку с наличием всех данных симптомов надо как можно быстрее обратиться к специалисту за квалифицированной помощью.
При раке вода в плевральной полости скапливается на протяжении длительного времени. Часто именно признаки быстропрогрессирующего плеврита являются главной причиной, чтобы пройти медицинское обследование. Но, благодаря современной медицине, эффективное и успешное лечение плеврита становится возможным. Пациент, после лечения, может прожить ещё много месяцев.
На первоначальном этапе скопление жидкости при плеврите никак не чувствуется и ее можно обнаружить совершенно случайно, например, во время прохождения профилактического медицинского осмотра.
При накоплении экссудата в плевральной полости, больной ощущает следующее:
- кашель с небольшим выделением мокроты или просто сухой кашель;
- пациент ощущает сдавливание в легком и тяжесть;
- прогрессирующая одышка, которая способна усиливаться при самой малой физической нагрузке;
- иногда чувствуется боль в поражённом легком.
При проведении визуального осмотра пациента врач обращает особое внимание на поражённую половину грудной клетки, которая явно отстает при дыхании. При выстукивании врач обнаруживает в нижних отделах грудной клетки существенное укорочение звука, а в поражённой зоне полное отсутствие шумов дыхания. Обследуя грудную клетку методом рутинной рентгенографии можно с легкостью выявить классические признаки плеврита.
Благодаря современным методам лечения плеврит можно успешно устранить, в связи с чем должна увеличится продолжительность жизни больного человека.
Методы лечения
Для начала необходимо выяснить основную причину, то есть найти месторасположение опухоли и при первой же возможности её устранить. Хирургическое вмешательство при отеке легких не проводят, используют только лечение медикаментозными препаратами.
Для этого применяется много различных фармакологических средств:
- сердечные гликозиды (препараты, которые способны усилить сокращение миокарда) — коргликон, сторофантин и другие;
- препараты, которые расширяют гладкую мускулатуру бронхов (например, эуфиллин);
- диуретики — это препараты, которые стимулируют выведение жидкости с организма вместе с мочой (например, фуросемид и другие).
Лечение злокачественного плеврита при онкологии лёгких имеет очень много отличий от методики лечения отека легких. Практически во всех случаях консервативный метод и лечение медикаментозными средствами плеврального выпота являются неэффективными. Самым радикальным и, наверное, единственным способом, который способен облегчить состояние пациента, считается плевроцентез.
Плевроцентез
Плевроцентез
Это хирургическая операция по механическому удалению экссудата. Проводится он под местным обезболиванием. Специалист по верхнему краю ребра в 7-ом или 8-ом межреберье при помощи тонкой инъекционной иглы осторожно прокалывает плевральную полость. Потом он заменяет одну иглу на другую, которая присоединённая к трубе электроотсоса. Пациент с постепенным снижением уровня экссудата ощущает явное облегчение.
Но, эта операция не устраняет основной причины возникновения плеврита и неспособна исключить вторичного скопления экссудата в плевральной полости. Для больного повторное проведение операции плевроцетеза является очень мучительной. Также во многих случаях развиваются спайки, что ещё больше осложняет процесс течения главного заболевания.
Плевродез
Операция плевродеза в современной медицине пользуется огромной популярностью. Плевродез — это хирургическая операция в процессе проведения которой плевральную полость заполняют специальными средствами не допускающие вторичного образования жидкости. В виде склерозирующих препаратов используются цитостатики (например, эмбихин или цисплатин), иммуномодуляторы (например, интерлейкин), антимикробные препараты (тетрациклин) и радиозотопы.

