Боли в спине справа редко возникают по естественным причинам, например, из-за мышечного перенапряжения после тяжелого рабочего дня. Значительно чаще их появление сигнализирует о развивающейся в организме патологии. Поэтому даже слабая боль в спине должна стать поводом для обращения к врачу за медицинской помощью. Своевременное консервативное, а иногда и хирургическое лечение позволит избежать развития осложнений, нередко необратимых.
Где болит
Важно знать! Врачи в шоке: «Эффективное и доступное средство от боли в суставах существует…» Читать далее…
На первом приеме врач просит пациента точно указать, где чаще всего возникают боли. Их локализация позволяет предположить причину ухудшения самочувствия. Выставить предварительный диагноз помогает и подробное описание пациентом сопутствующих симптомов, характера болей. Они бывают ноющими, тянущими, давящими, пульсирующими, жгучими, пронизывающими. Слабые боли обычно указывают на хронический воспалительный или дегенеративный процесс, сильные — на его обострение.
Между лопаток
Локализация болей между лопаток характерна для воспалительного поражения легких, особенно если она сопровождается повышением температуры, одышкой, ощущениями нехватки воздуха при вдохе, сухим непродуктивным кашлем. Они возникают и при повреждении, сдавлении спинномозговых корешков в грудном отделе позвоночника сместившимися дисками, деформированными позвонками, костными наростами (остеофитами).

Под ребрами
В этой области спины расположены многие внутренние органы, повреждение которых проявляется болями в спине справа. Они могут сигнализировать о возникших и усугубляющихся проблемах с печенью, желчным пузырем, селезенкой, поджелудочной железой. Подтверждением развивающейся патологии одного из внутренних органов становятся желудочно-кишечные расстройства, в том числе приступы тошноты и рвоты.
В боку справа
Боль в боку справа — один из основных симптомов патологий мочевыделительной системы. Они всегда сопровождают воспалительный процесс, протекающий в почках, мочеточниках, мочевом пузыре. Особенно опасно своими тяжелыми осложнениями инфекционное поражение с быстрым вовлечением здоровых тканей и органов. Много реже причиной болей в правом боку становится аппендицит.
В пояснице
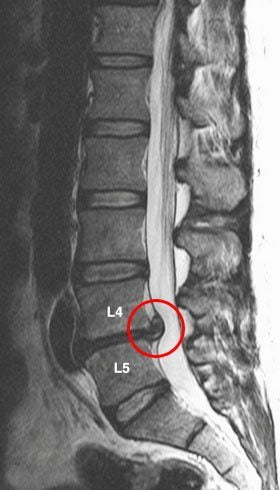
Тянущая, постоянная ноющая боль в пояснице может быть спровоцирована воспалением органов малого таза. Но в подавляющем большинстве случаев она указывает на деструктивно-дегенеративные изменения в межпозвонковых дисках и позвонках. Острая боль в поясничном отделе характерна для воспаления нервного корешка или его сдавления, травмирования сформировавшейся межпозвоночной грыжей.
Возможные причины болевых ощущений
Спровоцировать боли в спине справа могут различные патологии, диагностировать которые самостоятельно человек не способен. Подобным симптомом проявляются практически все заболевания позвоночника. Но утверждать, что именно повреждения дисков и позвонков стали причиной ухудшения самочувствия, нельзя. Вдоль позвоночника расположены спинномозговые корешки, иннервирующие не только его структуры, но и внутренние органы. Если в почках или печени протекает патологический процесс, то боль от них распространяется по нервным волокнам, ощущается именно в спине. Такую боль называют «отраженной», иррадиирущей.
Бытовые причины
Дискомфорт в спине справа может быть обусловлена растяжением мышц в результате чрезмерно интенсивных движений или после длительного нахождения в одном положении тела, подъема тяжестей. Болезненность вполне естественна после падений, ушибов, ударов. Она нередко становится постоянным спутником человека, у которого ранее были выявлены компрессионные переломы позвоночника, подвывихи позвонков, сдавление спинного мозга. В таких случаях боли относительно слабые, обычно возникающие при резкой смене погоды, повышенных нагрузках на спину, переохлаждении.
Но без тщательной диагностики нельзя говорить о естественности таких ощущений. Ведь постоянный подъем и перенос тяжестей, частое нахождение в нефизиологичном положении может спровоцировать микротравмирование дисков с дальнейшим развитием тяжелой патологии позвоночника.
Заболевания позвоночника
Ведущий симптом всех патологий позвоночника — боль в спине. Ее появление справа типично для одностороннего ущемления нервного корешка. Это часто происходит при остеохондрозе шейно-грудного, грудного, поясничного, пояснично-крестцового отделов позвоночника. Особенно часто боли возникают при его уже развившихся осложнениях: протрузии, межпозвоночной грыже, дискогенной миелопатии, корешковом синдроме.
Боли с правой стороны спины могут сигнализировать и о таких заболеваниях:
- спондилоартроз — остеоартроз дугоотростчатых суставов;
- анкилозирующий спондилоартрит (болезнь Бехтерева) — хроническое системное заболевание с преимущественной локализацией в крестцово-подвздошных суставах;
- радикулит — поражение корешков спинного мозга;
- ревматизм — воспалительное инфекционно-аллергическое системное поражение соединительной ткани.
Повреждение дисков, позвонков, а особенно сдавление спинномозговых корешков редко проявляются четко локализованными болями. Они распространяются на рядом расположенные участки тела, иррадиируют в руки, ноги, бока.
«Врачи скрывают правду!»
Даже «запущенные» проблемы с суставами можно вылечить дома! Просто не забывайте раз в день мазать этим…
>
Патологии органов пищеварения
Причиной болезненности поясничного и грудного отдела позвоночника нередко являются патологии органов пищеварительной системы. Они характерны для холецистита, панкреатита, воспалительных заболеваний кишечника, в том числе аутоиммунного характера. По мере усиления воспалительного процесса повышается и выраженность болей. Они становятся острыми, опоясывающими, не стихают даже после продолжительного отдыха.
Если боль жгучая, пульсирующая, режущая, то высок риск аппендицита, особенно при нетипичном (ретроцекальном) положении аппендикса.
Сердечно-сосудистые болезни
Боли с правой стороны спины при патологиях сердечно-сосудистой системы не типичны. Но в ряде случаев возможна и такая их локализация. Пациенты с грудным остеохондрозом нередко страдают от иррадиирущих болей в сердце. Но очень важно дифференцировать их от симптомов стенокардии или инфаркта миокарда — заболеваний, угрожающих не только здоровью, но и жизни человека. Интенсивность сердечных болей ослабевает при приеме Нитроглицерина.
Болезни почек
Это довольно частая причина поясничных давящих или пронизывающих болей, обусловленная общностью иннервации позвоночных структур и органов мочевыделения. Дискомфортные ощущения в спине сопутствуют поликистозу, гидронефрозу, онкологическим заболеваниям, которые приводят к увеличению одной или двух почек в размерах.
| Патологии почек, проявляющиеся болями в спине справа | Характерные особенности |
| Пиелонефрит | Ведущий симптом этой неспецифической инфекционной патологии почек — тупые боли в поясничной области различной интенсивности, чаще односторонние, сопровождающиеся повышением температуры |
| Гломерулонефрит | Это иммунновоспалительное поражение почек проявляется болями в поясничной области, гипертермией, ознобом, общей слабостью, тошнотой, снижением аппетита |
| Мочекаменная болезнь | При отхождении камня, особенно крупного, возникает сильная боль в поясничной области, не зависящая от положения тела. Если конкремент расположен в нижних отделах мочеточников, то боли иррадиируют в пах, бедра, ягодицы |
Беременность
Примерно с 16 недели беременности матка начинает увеличиваться в размерах. Она давит на правосторонние чувствительные нервные окончания, что и становится причиной «отраженных» болей в нижней части спины. Они обычно исчезают после непродолжительного отдыха в положении лежа.
С 30 недели вынашивания ребенка центр тяжести значительно смещается из-за увеличения живота. Чтобы не сутулиться при ходьбе, женщине приходится напрягать мышцы всей спины. Спустя несколько часов возникают ноющие, тупые боли. Так организм сигнализирует о необходимости отдыха.
На поздних сроках беременности причиной болезненности становится выработка релаксина, обеспечивающего повышенную эластичность связочно-сухожильного аппарата для подготовки родовых путей. Поскольку этот гормон действует неизбирательно, он влияет на все связки, что и вызывает боли в пояснице и крестцовом отделе.
Гинекологические причины
Тянущие, ноющие боли в поясничном отделе позвоночника нередко указывают на правостороннее развитие воспалительного процесса в одном из органов репродуктивной системы. Они сопровождают внематочную беременность, формирование кисты яичника, миому матки. Постепенно усиливающаяся болезненность характерна для опухолей половых органов, угрозе выкидыша при беременности. При жалобах женщины на дискомфорт в пояснице всегда проводится дифференциальная диагностика для исключения гинекологических патологий.
Поражения органов дыхания
Одышка, боли в средней части спины, ощущение першения и «кома» в горле, непродуктивный кашель могут быть признаками, как грудного остеохондроза, так и патологий дыхательной системы. К последним относятся:
- сухой плеврит — реактивное воспаление плевры, для которого характерны боли в грудной клетке, усиливающиеся при дыхании, распространяющиеся на правую сторону спины;
- пневмоторакс — скопление газа в плевральной полости, ведущее к сдавлению кровеносных сосудов средостения, расстройству функций дыхания и кровообращения, появлению пронзительной колющей боли на стороне пораженного легкого;
- пневмония — острое поражение легких инфекционно-воспалительного характера, одним из симптомов которого становится иррадиирущая боль в грудной клетке.
Постоянно повышающаяся болезненность с правой стороны спины сопровождает укрупнение опухоли в легком, в том числе злокачественной.
В каких случаях нужно срочно обратиться за помощью
Не только острая боль должна стать сигналом для обращения к врачу. Большую опасность представляет слабая болезненность, сохраняющаяся в течение нескольких дней, не исчезающая даже после продолжительного отдыха. Она является защитной реакцией организма на воспалительное или дегенеративное поражение внутренних органов, позвоночного столба.
К врачу следует незамедлительно обратиться при выраженной сопутствующей симптоматике — повышении температуры, скачках артериального давления, зрительных и слуховых расстройствах, головокружениях, тошноте, рвоте.

Что делать, если болит спина справа
Если прием у врача назначен только на следующий день, а боль не ослабевает, то можно принять таблетку любого нестероидного противовоспалительного средства (НПВС). Это Кеторол, Найз, Нурофен, Кетопрофен, Диклофенак. При слабых дискомфортных ощущениях достаточно нанесения местных НПВС — гелей Вольтарен, Фастум, Артрозилен. Категорически запрещено использовать холодовые компрессы или прогревания до установлений причины болезненности спины справа. Это может привести к усилению воспаления или стойкому мышечному спазму.

Похожие статьи
Как забыть о болях в суставах?
- Боли в суставах ограничивают Ваши движения и полноценную жизнь…
- Вас беспокоит дискомфорт, хруст и систематические боли…
- Возможно, Вы перепробовали кучу лекарств, кремов и мазей…
- Но судя по тому, что Вы читаете эти строки — не сильно они Вам помогли…
Но ортопед Валентин Дикуль утверждает, что действительно эффективное средство от боли в суставах существует! Читать далее >>>
загрузка…
Источник
Боль в пояснице с правой стороны – распространенный симптом, мучающий в самых разных случаях. Разброс причин болевого синдрома с правой стороны поясницы – от обычной усталости до серьезных нарушений функций внутренних органов. Но в большинстве случаев это происходит из-за того, что повреждаются межпозвонковые диски. Выяснить причину болевых приступов в спине в области поясницы и порекомендовать адекватные методы терапии способен лишь врач.
Почему болит справа
Остеохондроз межпозвоночных дисков поясницы – наиболее частая причина. Короткие болевые приступы в нижней части спины могут начаться после сильных движений, кашля, чиха и смеха. В эти моменты может проявиться прострел спины (как его еще называют, люмбаго). В таком состоянии человек на некоторое время теряет возможность двигаться от боли. Приступы в этой ситуации часто начинают иррадировать в бедра и ягодицы с разной силой.
Спондилез всегда вызывает резкие боли в пояснице справа, если пациент наклоняется, лежит на левой стороне тела, долго не меняет позу, в которой расположился. Часто боли перерождаются во временную хромоту из-за потери чувствительности нижних конечностей. Этот симптом может уйти так же неожиданно, как пришел.
Травматические воздействия на спину в районе поясницы справа сзади могут вызывать боли в пояснице, например, если человек упал. Обычно эти симптомы проявляются сразу после деформирующего воздействия. Разнообразные новообразования, воспаления, гнойные скопления и некроз также могут вызвать болевые приступы, локализованные в этом отделе хребта.
Боль в правой части снизу
Здесь локализуется болевой синдром как после травм, так и в результате развития различных новообразований. Еще одной частой причиной того, что болит спина справа, становится тяжелый физический труд, резкие движения. Как видим, разброс источников боли справа в пояснице весьма велик, поэтому мы советуем посетить врача и не слишком увлекаться самолечением. Ведь корень проблемы может быть не только в патологиях позвоночника, но и в нарушениях работы внутренних органов.
- Советуем почитать: боль в спине справа выше поясницы
У женского пола боли в области поясницы справа могут говорить о воспалении гинекологической системы. Иногда они появляются во время климакса, при онкологических заболеваниях матки, внематочного развития эмбриона. Нормально текущая беременность также иногда вызывает болезненные ощущения справа внизу сзади. К примеру, боль в крестце справа возникает, если плод находится ближе к задней стенке матки. Неприятные чувства в пояснице у мужчин внизу справа также намекают на патологии и воспаления мужских органов.
Боль в правой верхней части
Если боль локализована справа от позвоночника, проблема может крыться в нарушении функционирования внутренних органов. Болеть могут как органы пищеварительной, так и половой системы. Другими причинами того, что болит в правой части поясницы, часто оказываются радикулит, камни в почках, воспаление желчного пузыря.
- Советуем почитать: боль в верхней части спины
Сильные боли сзади справа часто вызывает аппендицит, зажим нерва, воспаление поджелудочной. Боль в пояснице справа сзади может говорить о том, что заболели почки.
При этом клиническая картина может как сильно отличаться, так и не иметь сопутствующих характерных признаков. Так, если пациента рвет и тошнит, проблема скорее в пищеварительной системе, а если мучает жар, наверняка присутствует воспаление. Точный диагноз при боли в поясничной области всегда может поставить только специалист.
Характер поясничной боли
Хронические боли в правой стороне поясницы чаще всего говорят о том, что есть патологические процессы в позвоночнике либо заболевания внутренних органов. Если болит спина в области поясницы справа, вероятнее всего, их корень в излишнем физическом напряжении, усталости и резких движениях. Такие болевые приступы можно победить анальгетиками. Когда не хотите злоупотреблять лекарствами, можно и просто отдохнуть, расслабить напряженные мышцы.
Ноющий болевой синдром в районе поясницы говорит о гнойных образованиях в позвоночнике. Поставить такой диагноз однако может только медик. Корень проблемы может скрываться и в обычном остеохондрозе.
Интенсивные неприятные ощущения часто проявляется после травматических воздействий, поэтому после ударов и падений следует по возможности быстро обратиться в травмпункт. Тянущая боль в пояснице возникает по причине гепатита. Даже если болевой синдром такого типа настигает ненадолго, нужно как можно скорее обратиться к доктору.
Лечение боли в спине
Ограниченная подвижность спины с правой стороны, ухудшение чувствительности и боль внизу спины справа существенно снижает качество жизни. Кроме того, негативные изменения межпозвонковых дисков поясничного отдела и ухудшения в работе органов пищеварительных и мочеполовых систем имеют свойство только прогрессировать со временем. Поэтому затягивать с обследованием, если болит низ спины, нельзя.
В запущенной форме любой источник болезнных ощущений будет тяжелее вылечить.
Кроме того, медицинские работники помогут бороться и с симптоматикой, назначив правильные обезболивающие и их дозировку. Лучше, чтобы она была низкой, ведь иначе можно принести вред ЖКТ. При этом очень сильные приступы могут быть вызваны совсем незначительными деформациями хрящевых тканей позвоночника. И гораздо лучше медикаментозных средств, которые нагружают пищеварительную систему, поможет покой и избегание стрессовых ситуаций.
Если выяснилось, что источник боли в районе поясницы справа кроется в дегенеративно-дистрофических процессах, и острый период заболевания закончился, пациенту обычно назначается легкая двигательная активность. В том числе упражнения ЛФК (вначале под присмотром инструктора), плавание в бассейне, обычные прогулки пешком. Помогают массажные и физиотерапевтические процедуры.
Чтобы ослабить боль внизу поясницы в случае проблем с межпозвонковыми дисками и зажатыми нервами, помогут нестероидные противовоспалительные препараты (Диклофенак, Ибупрофен). Обычные обезболивающие наподобие Кетанова и Кеторола также имеют место быть.
Хуже обстоит дело, если нарушена функция органов пищеварительной или репродуктивной системы. Лечить нужно уже не симптомы, а само заболевание.
| Пожалуйста, оцените статью |
Источник
В большинстве случаев болит спина именно в том месте, где находится патологический процесс
У каждого человека хотя бы раз в жизни время от времени болит спина. Чаще всего такой симптом не вызывает никакого беспокойства и самостоятельно проходит. Но бывают случаи, когда игнорировать его не так-то и просто.
Боль в спине справа может свидетельствовать о более серьезных заболеваниях, нежели обычное физическое перенапряжение.
В каждом случае, чтобы не допустить катастрофы, необходимо проанализировать все возможные причины боли в спине, и если нужно, то обратиться за врачебной помощью.
Какие виды боли могут нас беспокоить?
В большинстве случаев болит спина именно в том месте, где находится патологический процесс.
Соответственно, болезненность в том или ином месте, при знании азов анатомии, может нам подсказать, какая структура организма повреждена или где искать разгадку. Например, при сухом плеврите боль будет локализироваться над участком поражения, обычно под лопаткой или в боку, появляется она на глубине вдоха, носит колющий характер.
В остальных случаях болезненные ощущения могут не совпадать с местом поражения.
Выделяют 2 вида такой боли:
-
проецируемая – иррадиирует с места возникновения по ходу нервных волокон в дистальные участки тела, например, при остеохондрозе поясницы, боль может ощущаться не только внизу спины справа или слева, но и отдавать в ногу;
-
отраженная – развивается из-за поражения внутренних органов (чаще ЖКТ), но локализируется в отдаленных и поверхностных участках тела. В основе ее возникновения лежит чувствительная иннервация кожного покрова в виде отдельных дерматомов, болезненные зоны называют зонами Захарьина-Геда.
Боль в спине справа имеет различный характер:
-
схваткообразный – то появляется, то исчезает, характерно для поражения мочеполовых органов при сокращении их гладкой мускулатуры;
-
нарастающий – интенсивность болевых ощущений прогрессивно нарастает, характерно для воспалительных поражений (воспаление легких, поддиафрагмальный абсцесс);
-
кинжальный – такая боль указывает на неотложное состояние (разрыв какого-то образования, органа, тромбоэмболию, внутрибрюшное кровотечение);
-
в виде прострела – характерно именно для заболеваний позвоночника с вовлечением в патологический процесс нервных корешков спинного мозга;
-
постоянный и монотонный – характерно для поражения паренхиматозного органа, например, при заболеваниях печени;
-
тянущая боль в спине характерна для травматических и других повреждений опорно-двигательного аппарата.
Бытовые причины
К бытовым причинам возникновения боли под лопаткой или в области поясницы справа можно отнести все травматические повреждения (ушиб мягких тканей спины, растяжение спинных мышц и пр.). Также в эту группу входят болезненные ощущения после длительного физического труда, пребывания в неудобной нефизиологической позе, ношения тяжестей.
Подписывайтесь на наш аккаунт в INSTAGRAM!
Данная группа причин боли в спине не представляет серьезной опасности, как правило, проходит самостоятельно после отдыха. Но все равно не следует пренебрегать такими признаками, ведь под маской самого обычного симптома могут скрываться тяжелые заболевания.
Заболевания позвоночника
Это самая распространенная группа заболеваний, которые приводят к развитию болевого синдрома в спине. Если долгое время болит спина справа, то необходимо думать о возможной патологии позвоночника.
Главным виновником боли в спине является остеохондроз. Локализация болезненных ощущений будет зависеть от того, какой участок позвоночника патологически изменен. Чаще всего страдает поясничный отдел позвоночника. При этом возникает постоянная ноющая боль внизу справа или слева. При поражении грудного отдела, болезненные ощущения могут локализироваться выше поясницы или под лопаткой.
При развитии осложнений остеохондроза (защемление нервов, их воспаление — радикулит) боль приобретает другой характер.
Развивается проецируемый болевой синдром – болезненные ощущения иррадиируют по ходу вовлеченных нервных окончаний (в руку, в ногу). Такая боль может иметь постоянный характер (люмбалгия, торакалгия) или в виде прострела (люмбого, торакаго).
Патология органов пищеварения
При поражении печени, желчного пузыря боль часто локализируется в правой части спины, правом подреберье. Часто такая боль развивается и при заболеваниях поджелудочной железы (опоясывающий характер болезненных ощущений).
Боль справа внизу может возникать и при аппендиците, особенно если расположение аппендикса нетипичное (ретроцекальное положение – он прячется за слепой кишкой).
Болезненные ощущения под правой лопаткой часто могут указывать на острые заболевания органов ЖКТ. Здесь находится зона Захарьина-Геда. Часто острый холецистит начинается именно так.
Болезненные ощущения могут появляться на отдалении от пораженного органа из-за особенностей иннервации (зоны Захарьина-Геда)
Сердечно-сосудистые болезни
Хотя для заболеваний сердца и характерна иррадиация боли в левую половину тела, но в некоторых случаях она может отдавать и вправо.
Очень опасным состоянием считают нетипичные проявления инфаркта миокарда, когда болевые ощущения локализируются под правой лопаткой. Больные в таких случаях даже не думают о возможном поражении сердца, терпят боль, а тем временем теряются драгоценные минуты, которые могли бы спасти жизнь человеку.
Болезни почек
Заболевания почек часто проявляются болью в области поясницы. При состояниях, которые сопровождаются увеличением размера почки (поликистоз, гидронефроз, опухоли почек), появляется постоянная, тянущая боль внизу спины.
Схваткообразный характер боль приобретает при пиелонефрите и мочекаменной болезни. Типичным примером такой боли является приступ почечной колики. Боль начинается в области поясницы, отдает в живот и наружные половые органы.
Гинекологические причины
Если у женщины появилась тянущая боль в нижней части спины и живота, то в первую очередь необходимо исключить гинекологическую патологию.
Причинами могут быть такие патологические состояния:
-
внематочная беременность;
-
киста яичника;
-
опухоль внутренних половых органов;
-
болезненная менструация;
-
воспалительные поражения репродуктивной системы;
-
если женщина беременна, то такие симптомы могут свидетельствовать об угрозе выкидыша.
Поражения органов дыхания
При поражении дыхательной системы боль часто локализируется в области спины. Вызвать болезненные ощущения могут такие заболевания:
-
сухой плеврит – боль связанна с дыханием, усиливается на высоте вдоха, имеет колющий характер, очень сильная, часто, чтобы уменьшить болезненность, пациент начинает поверхностно и часто дышать;
-
пневмоторакс (разрыв ткани легкого с попаданием в плевральную полость воздуха) – резкая и внезапная боль под лопаткой с появлением выраженной одышки;
-
пневмония с вовлечением в патологический процесс плевры – боль похожа на ту, которая наблюдается при плеврите;
-
рак бронхов или легочной ткани – болезненные ощущения появляются при распространении опухоли в поздней стадии, характер боли и ее локализация зависят от степени прорастания раковых клеток в соседние органы и плевру.
Каким бы ни был характер боли в правой части спины, в первую очередь он должен насторожить вас. Ведь это сигнал организма о нарушении, маленьком или более серьезном.опубликовано econet.ru
P.S. И помните, всего лишь изменяя свое потребление — мы вместе изменяем мир!
Понравилась статья? Напишите свое мнение в комментариях.
Подпишитесь на наш ФБ:
,
чтобы видеть ЛУЧШИЕ материалы у себя в ленте!
Источник






