Вторичные злокачественные опухоли в область головного мозга и иные анатомические структуры головы классифицируются как метастазы в голове. Они представляют 25 – 50% от всех случаев расширенного рака.
Главное отличие от первичных образований состоит в том, что метастатический процесс имеет все гистологические характеристики изначального формирования.
Органы, от которых распространяется рак в голову
Наиболее распространенными источниками метастазов являются:
- Легкие: 48%;
- Грудная железа: 15%;
- Мочеполовой тракт: 12%;
- Остеосаркома: 10%;
- Меланома: 9%;
- Онкоформирования головы и шеи иного вида: 6%;
- Нейробластома: 5%;
- Желудочно-кишечные раковые заболевания, особенно колоректальный тип и карциномы поджелудочной железы: 3%;
- Лимфома: 1%.
Симптомы метастазов в голове
Обычно пациенты не ощущают никаких изменений своего состояния. Но метастазирование в область головы может иметь широкий спектр симптомов, в частности:
- сильное или слабое головокружение;
- агрессивные приступы головной боли;
- изменения в восприятии и нарушение когнитивной функции;
- вестибулярные проблемы, что включают тошноту, рвоту;
- длительная или кратковременная потеря памяти;
- повышенное внутричерепное давление;
- парестезия;
- расстройства виденья;
- атаксия и паралич Белла.
Наличие отдаленных метастаз может негативно повлиять на выживаемость.
Признаки
Врачам не всегда удается только по изучению симптомов и жалоб установить наличие метастазов в голове. Поэтому они обращаются к современной технике, позволяющей точно определить окончательный диагноз.
Новаторские методы выявления процесса метастазирования включают:
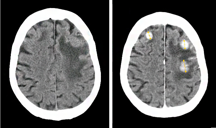
- Компьютерная томография может визуализировать даже бессимптомные поражения у больных с экстракраниальными повреждениями (которые находятся на поверхности органа).
- УЗД с использованием тонкоигольной аспирационной техники, в том числе В-режима сонографии с цветовым кодированием, а также дуплексной сонографии и 3D эхографии.
- ФДГ ПЭТ ‒ лучший инструмент для визуализации, если метастазы пошли в голову. Однако он позволяет обнаружить образования только до 1,5 см в диаметре.
- МРТ ‒ золотой стандарт диагностики прогрессивных раковых опухолей в этих областях. В зависимости от вида вторжения, изменяется качество изображения.
Метастазы в костях головы
Вторжение онкологического формирования в череп или височные кости ‒ частое явление, что встречается в 15-25% случаев. Как правило, поражение носит односторонний характер и размещается с одной стороны или между костями двух полушариев. В 5% поражение может быть двусторонним.
Среди клинических проявлений ‒ сжатие мозговых центров и нервов, припадки, ограниченная глазная подвижность, экзофтальм. Визуализационные исследования в 90% позволяют точно выявить вид метастатического вторжения, которое бывает литическим, склеротическим или смешанным.
Важно знать: Причины, виды, симптомы, удаление и прогноз опухоли в голове
Лечение больных
Выделяются такие способы управления злокачественным процессом, распространенным с иных органов:
- Максимальная хирургическая резекция с последующей стереотаксической радиохирургией или облучением целой головы. Это превалирующий метод, что обладает хорошими прогностическими данными.
- Лучевая терапия играет важную роль в лечении метастатического заболевания. Она пропагандируется для больных с множественными повреждениями органов, предполагаемой жизненной продолжительностью меньше трех месяцев и низким показателем эффективности Карновского.
- Стереотаксическая радиохирургия рекомендована для ограниченного числа метастазов, чтобы добиться локального контроля над опухолью.
- Химиотерапия используется редко. Однако, некоторые виды опухолей, такие как лимфома, мелкоклеточный рак легких и молочной железы, могут управляться с помощью химиотерапевтических препаратов. Они доставляются инъекциями в спинномозговую жидкость.
Прогноз
Длительность жизни больного при метастазах зависит от типа первичного рака, возраста пациента, числа метастатических очагов, а также конкретного места поражения головы. Если это мозг (включительно с мозжечком и стволом), данные не очень утешительные.
Для всех пациентов с метастазами в головном мозге медиана выживаемости составляет всего 2 – 3 месяца. Тем не менее, у больных моложе 65 лет без экстракраниального расширения и с наличием опухоли только в одном очаге, прогностические данные гораздо лучше. Они указывают на увеличение общей выживаемости до 13,5 месяцев.
Важно знать: Как лечить опухоль? Современные методы лечения
Сколько живут такие пациенты?
Без лечения такие пациенты живут менее одного месяца. Больные с несколькими ограниченными метастатическими поражениями головного мозга после хирургической резекции живут, по крайней мере, 3 месяца. Средний период выживаемости составляет один год. Однако, у пациентов с единичными метастазами, данные более оптимистические.
Скелетные вторжения имеют неблагоприятные прогностические данные, что иногда ограничивается несколькими месяцами.
У пациентов с опухолью в иных органах головы (например, ротовой полости, ухе) шансы на длительное выживание немного выше. Средняя продолжительность жизни становит 15 месяцев.
Сколько осталось жить, если диагноз подтвердился?
К большому сожалению, злокачественная болезнь, что продвинулась в область головы, существенно уменьшает время выживания. На этом этапе врачи часто прибегают не к активной терапии, а к паллиативным методам, которые борются с главными симптомами. К ним относится:
- применение кортикостероидов. Они предотвращают развитие отека тканей и снимают неврологические факторы;
- противосудорожные средства, которые контролируют эпилептические приступы и судороги.
Метастазы в голове ‒ это серьезное осложнение рака, что характеризуется неблагоприятным прогнозом. Однако, технологии лечения развиваются и апробируются новые способы управления болезнью.
Источник
Метастатический рак мозга (другое название — вторичный рак мозга) — опухоль, которая возникает,когда раковые клетки проникают в головной мозг из злокачественной опухоли, расположенной в другой части тела. Некоторые факты и цифры:
- Вторичный раз могла встречается в 10 раз чаще, чем первичный, то есть тот, который изначально развивается в головном мозге;
- Метастазы в головной мозг возникают у 20-40% онкологических больных (в среднем у каждого четвертого);
- Ежегодно метастатический раз мозга диагностируют у 50 000 — 70 000 россиян;
Пару десятилетий назад при множественных метастазах в головной мозг на пациенте можно было ставить крест — нейрохирургические учреждения, делавшие успехи в терапии первичных опухолей головного мозга, таких больных не брали, потому как оперативное лечение в этом случае уже было почти невозможным. Даже в столице не более трёх специалистов готовы были попробовать лучевую терапию, между тем как по данной теме было защищено несколько диссертаций, демонстрирующих очень неплохой результат. Но практическая деятельность сталкивалась с клиническими трудностями, делающими спасение пациента весьма трудоёмким.
Метастазы злокачественных опухолей в головном мозге постигают каждого четвёртого больного, при посмертном исследовании их находят у шести из десяти. Метастазы выявляются на порядок чаще, чем первичные опухоли центральной нервной системы, которыми охотно занимаются нейрохирурги. Российская онкологическая статистика учитывает только первичные опухоли головного мозга и вообще первичные раки, но не знает, сколько больных имеют метастазы куда бы то ни было, а не только в головной мозг.
Любая опухоль метастазирует в мозг, но чаще всего рак лёгкого, особенно крайне агрессивный мелкоклеточный — до 80% больных, а также рак молочной железы, кишки, почки и меланома, но все они метастазируют много реже рака лёгкого. Сегодня метастазы в головном мозге находят чаще, чем в конце прошлого века, чему весьма способствуют методы нейровизуализации — КТ и МРТ и увеличение выживаемости онкологических больных в результате успехов онкологической науки. Заметно повысилась и активность онкологов, не только решающихся на лечение самых непростых больных, но и имеющих возможность выхаживать таких пациентов.
Как правило, большинство больных к моменту выявления внутричерепных метастазов имеют другие, подчас неизлечимые и распространённые, очаги опухоли, состояние их оставляет желать лучшего, а локальная терапия внутричерепных метастазов чревата ранним рецидивом. Внедрение высокотехнологичного лечения, как хирургического, так и лучевого, помогло избавиться от профессионального пессимизма и увеличило 5-летнюю выживаемость пациентов, придав их жизни вполне приемлемое качество.
Почему возникают метастазы в головном мозге?
Метастазирование — довольно сложный процесс. Он состоит из нескольких этапов. Опухоль должна прорасти в соседние ткани, затем ее клетки отрываются и проникают в кровеносные или лимфатические сосуды. Мигрируя с током крови, раковые клетки оседают в разных органах. Какое-то время они «дремлют», затем начинается бурный рост.
Чаще всего — в 48% случаев — метастазы в мозг связаны с раком легких. Наиболее агрессивен немелкоклеточный рак легкого — он метастазирует в мозг в 80% случаев. Реже встречаются метастазы при раке молочной железы (15%), мочеполовой системы (11%), остеогенной саркоме (10%), меланоме (9%), раке головы и шеи (6%).
Клинические проявления метастазов
Симптоматика зависима от размеров внутричерепных опухолевых очагов, их количества и расположения. Принципиально клинические симптомы можно разделить на две группы:
- локальные, обусловленные расположением опухоли в конкретном отделе мозга, отвечающем за определённые функции определённого органа;
- общемозговые симптомы, связанные с размером дополнительной опухолевой ткани, мешающей функционированию самого мозга.
К примеру, опухоль рядом со структурами, обеспечивающими иннервацию глаза, проявится выпадением полей зрения, когда глазом не воспринимаются отдельные участки сектора обзора. Множество мелких узлов даст картину отёка головного мозга, поскольку лишние граммы опухоли в замкнутой черепной коробке мешают нормальной циркуляции жидкостей и сдавливают нормальные ткани.
У половины больных вторичные новообразования головного мозга откликаются головной болью, очень часто интенсивность боли меняется вместе с положением головы, когда при наклоне под определённым углом частичное восстановление циркуляции ликвора временно приводит к уменьшению боли. К сожалению, со временем рост метастазов сделает боль постоянной, а замкнутость пространства приведёт к невыносимой интенсивности. Нередки головокружения и двоение, если смотреть обоими глазами.
У каждого пятого пациента развиваются двигательные нарушения вплоть до пареза половины тела. У каждого шестого страдают интеллектуальные способности, столько же мучается от изменений поведения, нарушений движений и походки, чуть реже отмечаются судороги, но и совершенно бессимптомное течение, когда метастатические образования выявляют лишь при обследовании, тоже не редкость. Тем не менее, при увеличении размеров опухоли даже в такой относительно благоприятной ситуации довольно быстро нарушаются функции организма.
Отёк ткани вокруг опухоли — перифокальный отёк вкупе с повышением внутричерепного давления (ВЧД) вызывают общемозговые симптомы с головной болью, головокружением, двоением, рвотой при малейшем движении или даже при открывании глаз, постоянной икотой, приводят к угнетению сознания вплоть до мозговой комы. Снижение частоты сердцебиений и дыханий при очень высоком «верхнем» систолическом давлении свидетельствуют о крайне высоком и чреватом гибелью внутричерепном давлении.
В практике выделяют варианты развития первичной симптоматики при метастазах рака в центральную нервную систему по превалирующему комплексу клинических признаков.
- Похожий на инсульт апоплексический вариант, развивается остро и проявляется очаговыми нарушениями — свидетельством поражения определённого участка мозга. Такой вариант, как правило, связан либо с закупоркой сосуда, либо его разрывом опухолью с последующим кровоизлиянием в головной мозг.
- Ремиттирующий вариант характеризуется волнообразным течением, когда симптомы то уменьшаются, то прогрессируют, напоминая атеросклеротическое поражение сосудов.
У некоторых больных метастазы головного мозга протекают бессимптомно. Обнаруживают их только во время обследования.
Как диагностируют метастазы в головном мозге?
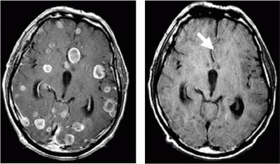
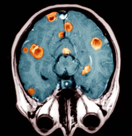
«Золотой стандарт» в диагностике метастатического рака головного мозга — магнитно-резонансная томография (МРТ). Во время этого исследования получают изображения внутренних структур тела, используя сильное магнитное поле. По снимкам врач может судить о количестве, размерах, расположении метастатических очагов.
Биопсия — исследование, во время которого получают фрагмент ткани и исследуют его на предмет раковых клеток. Если у человека уже диагностирован рак в другом органе и обнаружены очаги в головном мозге, потребности в данном методе диагностики обычно нет. Биопсия нужна, если есть очаги в мозге, но не найдена первичная опухоль.
Лечение метастазов
Без лечения продолжительность жизни больного от момента выявления метастатического поражения головного мозга едва ли превышает месяц, но это в среднем. Только добавление высоких доз гормонов способно двукратно увеличить продолжительность жизни и несколько улучшить её качество, но опять только на время, тогда как химиолучевое лечение может дать до полугода жизни.
Тактика лечения зависит от некоторых факторов:
- Количество, размер и расположение метастазов;
- Возможность удалить очаги хирургическим путем;
- Чувствительность первичной опухоли к химиопрепаратам и лучевой терапии;
- Общее состояние больного;
- Наличие других метастазов, возможность бороться с ними.
Прогностически неблагоприятна локализация опухоли в недоступной для манипуляций задней черепной ямке, нарушение циркуляции ликвора и вероятность вклинения опухоли в естественные черепные отверстия.
Несомненно, что только хирургическое пособие вкупе с дополнительным лекарственным и лучевым лечением даёт большие надежды. Но нейрохирургическое вмешательство возможно при одном или единичных опухолевых узлах, и, конечно, технически доступных. Паллиативную операцию выполняют при угрожающем нарастании давления и кровотечении, когда удаление даже одного из множества узлов способно радикально улучшить клиническую картину, чтобы присовокупить в дальнейшем консервативное лечение. Возможны разные варианты удаления опухолевых узлов.
При технически не удаляемых и чувствительных к противоопухолевым лекарствам видах рака, таких как молочная железа, мелкоклеточный рак лёгкого и герминогенные опухоли яичка, на первом этапе прибегают к химиотерапии, к которой в дальнейшем присоединяют облучение всего массива головного мозга. При радиочувствительных опухолях лечение можно начать с тотального облучения мозга. При опухолях не более 3,5 см и менее четырёх узлов как единственный метод эффективна стереотаксическая радиохирургия. К опухоли подводят с разных сторон несколько пучков радиоволн, они пересекаются в одном месте — там, где находится метастаз. В итоге раковые клетки уничтожаются, а окружающие здоровые ткани получают минимальную безопасную дозу. В комплексе с облучением мозга и химиотерапией результат лучше.
Лучевая терапия всегда сопровождается нарастанием отёчности ткани мозга, поэтому облучение всегда проводится на фоне дегидратации — симптоматической терапии, разгружающей от излишней жидкости. Поэтому радиолог может отказать в лечении пациенту, устойчивому к мочегонным препаратам, а также при уже смещённом головном мозге, поскольку дальнейшее смещение может стать для больного фатальным. Не возьмут на облучение тяжёлого пациента с выраженными клиническими проявлениями, тем более с судорогами или мутным сознанием. Уже после одного-двух сеансов облучения к имеющемуся высокому внутричерепному давлению присоединится лучевой отёк ткани, и без того очень неважное состояние пациента ухудшиться.
Возможны варианты последовательностей и сочетания методов, как при впервые выявленных метастазах в головной мозг, так и при рецидиве после лечения. Во всяком случае, при невозможности активной тактики и прогрессировании процесса клинические руководства рекомендуют прибегнуть к химиотерапии на фоне наилучшей поддерживающей симптоматической терапии (стероиды, обезболивающие, противосудорожные препараты и др.). Схема определяется первичной опухолью, то есть при раке лёгкого помогают одни препараты, при раке почки — другие. Химиотерапию проводят до выявления признаков прогрессии опухоли.
Терапия метастазов злокачественных опухолей в головной мозг не дело энтузиастов-одиночек, это работа команды онкологов, нейрохирургов, радиологов, химиотерапевтов и реаниматологов, вооружённых знаниями и отличным оборудованием для диагностики и лечения, как в Европейской клинике.
Каковы прогнозы при метастазах в головной мозг?
Прогноз зависит от типа первичной опухоли, количества метастазов, возраста и состояния пациента. В среднем пациенты живут 2-3 месяца. Но если метастазы единичные, пациенту меньше 65 лет, и в организме нет других метастазов, средняя продолжительность жизни может составить 13,5 месяцев.
Запись
на консультацию
круглосуточно
Источник
Метастазы в голове диагностируются в 10 раз чаще, чем первичные опухоли мозга. Эта патология довольно тяжело поддается лечению.
По статистике, каждый четвертый пациент с онкологией имеет метастазы в головной мозг.
Метастазы в головном мозге представляют собой тяжелое осложнение, которое может привести к летальному исходу, если не проводить никакого лечения. Метастазы в голове (код по Мкб 10 – С71) являются серьезным осложнением рака.
Как происходит метастазирование в головном мозге
Обратите внимание! Процесс появления метастаз довольно сложен, он не происходит спонтанно, а считается следствием некоторых этапов развития болезни.
Появление происходит таким образом:
- Начинается образование первичной опухоли, этому может способствовать сбой на клеточном уровне, из-за которого начинают усиленное размножение мутировавшие клетки;
- Первичная опухоль растет, увеличиваясь в размерах и проникая в соседние ткани;
- Следующим этапом идет непосредственно само перемещение раковых клеток с помощью кровеносной или лимфатической системы по организму, к примеру, в головной мозг;
- Перемещенные раковые клетки на новом месте начинают быстро расти, образуя очаги вторичной опухоли – метастазы.
Ведущие клиники в Израиле
Иногда, при распространении опухолевых клеток гематогенным способом не всегда могут найти первичный очаг заболевания.
Метастазы в головной мозг могут дать опухоли разной локализации.
Важно! Самой распространенной опухолью, дающей метастазы в голову, считается рак легкого (около 50 % всех случаев).
От рака молочной железы (груди) в головной мозг диагностируется около 15% случаев метастаз, органов мочеполовой системы (почек), остосаркома – 10%, от меланомы – 9%, от раковых опухолей других органов – процент ниже. Также возможны метастатические поражения в головном мозгу при базалиоме (раке эпителия), раке кожи, раке ЖКТ.
Симптомы
При появлении метастаз в голове можно наблюдать множество общих симптомов:
- Сильные головные боли, головокружение;
- Изменение в восприятии и нарушения когнитивной функции;
- Проблемы с вестибулярным аппаратом (приступы тошноты, иногда рвота);
- Кратковременная или длительная потеря памяти;
- Расстройство зрения;
- Парестезия;
- Атаксия и паралич Белла.

Симптомы метастазирования в голову напрямую зависят от того, в какую именно часть головы проникли метастазы. Все симптомы обычно подразделяют на головномозговые и костномозговые.
: признаки опухоли головного мозга
Если распределить симптоматику по локализации, то можно увидеть такую клиническую картину:
- Нарушение зрения (могут выпадать отдельные поля) возникает при локализации метастаз возле иннервационных глазных структур;
- Признаки пареза характерны при проникновении метастаз в ствол или мозжечок головного мозга;
- Нарушения деятельности опорно-двигательного аппарата и возникновение агрессии могут наступать при локализации в лобной области;
- Рост внутричерепного давления, головокружение, двоение в глазах, угнетенное состояние типично при расположении в височной доле;
- Если пропадает внятность речи, пациент тянет слова, иногда проглатывает окончания – метастазы затронули речевой отдел;
- Ухудшение чувствительности конечностей с одной из сторон с признаками невралгии, говорит о поражении одного из полушарий мозга (если страдают левые конечности – правое полушарие и наоборот).
В большинстве случаев вся симптоматика связана с повышением внутричерепного давления. Также наблюдаются судороги, подобные эпилептическим.
К неспецифическим симптомам относят:
- Ухудшение работоспособности, которое сопровождается быстрой утомляемостью;
- Частые случаи общего недомогания и плохого самочувствия;
- Повышения температуры без явных на то причин;
- Бледность кожи (развивается анемия);
- Беспричинное снижение массы тела (без употребления лекарств и диет).
Усиление всех этих симптомов и наличие некоторых других говорит о приближении летального исхода для пациента. Перед смертью можно наблюдать:
- Отсутствие аппетита;
- Резкая потеря веса;
- Депрессивное состояние;
- Неуемные сильные головные боли;
- Проблемы с дыханием;
- Общая болезненность всего организма;
- Нарушения сна.
Высока вероятность того, что больной даже может впасть в кому.
Для точной постановки диагноза прибегают к различным методам диагностирования:
- КТ. Этот метод помогает визуализировать даже бессимптомнее поражения у пациентов с экстракраниальными повреждениями (находящимися на поверхности органа);
- УЗД. Используют с тонкоигольной аспирационной техникой, в режиме сонографии, дуплексной сонографии и 3D эхографии;
- ФДГ ПЭТ. Используют для визуализации очагов небольшого размера (до полутора сантиметров в диаметре);
- МРТ – наиболее информативный вид диагностики для исследования метастаз.
Также берется на анализ цереброспинальная жидкость, опухолевая ткань на биопсию. Проводятся патопсихологическое, отоневрологическое, нейроофтальмологическое обследования для выявления метастаз в различных областях головы.
Не тратьте время на бесполезный поиск неточной цены на лечение рака
* Только при условии получения данных о заболевании пациента, представитель клиники сможет рассчитать точную цену на лечение.
Лечение
Среди способов лечения можно выделить следующие:
- Хирургическая резекция и следующая за ней стереотаксическая радиохирургия (или облучение всей головы). Это метод дает хорошие прогнозы лечения;
- Лучевая терапия. Она часто используется для больных с множеством метастаз и предполагаемым сроком жизни менее 3 месяцев и малым показателем эффективности Карновского;
- Стереотаксическая радиохирургия. Этот метод рекомендуем для тех больных раком, у которых количество очагов ограничено;
- Химиотерапия. Используется довольно редко при данном виде заболевания, но некоторые виды опухолей (лимфома, мелкоклеточный рак легких) могут координироваться с помощью химиотерапевтических препаратов.

Решение об использовании того или иного способа лечения принимается исходя из вида первичного образования, количества метастаз в голове, вида уже проведенной терапии, общего состояния здоровья пациента. Все виды лечения подразделяют на радикальные и паллиативные (поддерживающие).
Радикальное лечение имеет основной целью – регрессию образования. А паллиативное старается уменьшить размеры опухоли, снять основные симптомы, улучшить качество жизни онкобольного. Обычно такой способ назначается на последней – 4 стадии заболевания.
Отдельное место в ряде способов лечения занимает кортикотерапия – прием кортикостероидов («Преднизолон», «Дексаметазон»), которые существенно продлевают жизнь больного. Эти препараты уменьшают отек (он сопровождает опухолевый процесс), влияют на состояние и работу мембраны клеток. Благодаря такому влиянию у онкобольного наблюдается снижение внутричерепного давления, исчезают некоторые неврологические симптомы.
Также назначают противосудорожные препараты – «Топирамат», «Вальпроат». При возможном тромбообразовании (а это чревато кровоизлиянием в мозг) назначаются антикоагулянты «Гепарин», «Варфарин», «Фенилин». На последней стадии ракового процесса прописывают применение сильных обезболивающих средств для облегчения состояния больного.
После проведения лечения пациенты проходят реабилитацию, которую разрабатывают каждому индивидуально. Задачей реабилитации является укрепление организма (проводится иммунотерапия, витаминотерапия), устранение последствий вмешательства и недопущение рецидива.
Прогноз заболевания
Продолжительность жизни пациента зависит от первичного типа ракового заболевания, числа очагов, места их расположения, возраста пациента, его общего состояния. Если метастазы расположены в области мозжечка и ствола, то прогнозы заболевания малоутешительны.
Средняя выживаемость пациентов с метастазированием в головной мозг – около 2-3 месяцев. Если возраст больного меньше 65 лет, опухоль расположена лишь в одном месте без экстракраниального расширения, то прогноз гораздо оптимистичнее – около года.
Без проведения соответствующего лечения жизнь пациентов ограничивается одним месяцем. После хирургического вмешательства у пациентов с несколькими ограниченными метастазами продолжительность жизни может достигать одного года. Если метастазы единичные, то срок жизни увеличивается.
Проникновение метастаз в ствол мозга, мозжечок, еще и при наличии агрессивных множественных очагов или при диагностировании глиобластомы человеку остается жить несколько дней. Если метастазы оказываются операбельными, то можно говорить о некотором увеличении жизни.
Проведенная радиохирургия дает больному шанс прожить около 1-1,5 лет.
В общих случаях, если метастазы пошли в голову – обнаружились в головном мозге, то это считаются наиболее опасным заболеванием и прогноз весьма неутешителен, все будет зависеть от конкретного случая.
Вопрос-ответ
Можно ли вылечить метастазы в голове народными способами?
Это очень тяжелое заболевание, которое не всегда поддается лечению оперативным способом, поэтому терапия народными способами здесь просто бессильна.
Источник



