Иногда люди испытывают сильные и регулярные боли в затылке. У разных людей затылок тоже болит по-разному. Иногда боль бывает резкая и острая, а иногда тупая и кажется, будто затылок распирает изнутри. Факторов, из-за которых болит затылок или лоб достаточно много.
Затылок или лоб часто болит после тренировки и вообще после любых физических переутруждений. Зачастую причиной, из-за которой болит лоб или затылок может стать постоянный стресс. Появляется слабость и усталость в организме. Также иногда отдает в плечи.
Если голова затылок и лоб болят уже долго, например, год, болит височная косточка, косточка в задней части головы, частая слабость, тяжело делать тренировки и появляется плохое самочувствие после нее, то скорее всего причинами могут быть заболевание или неправильное расположение черепных соединений, неправильный прикус, болезни шеи (остеохондроз, грыжа), гипертония, длительная мигрень, спазм сосудов в области затылка и прочее.
Обычно, если болит лоб и затылок, то это все же связано с шейным отделом или травмой головного мозга. Если появляется слабость и болит лоб, отдает в затылок, болят кости головы из-за прошедшей травмы головного мозга, то следует незамедлительно обратиться к специалисту, так как это может повлечь тяжелые осложнения.
Если же болит какая-нибудь косточка в голове, болит лоб и затылок, тяжело делать тренировки, и после них все становится хуже, то это связано с заболеванием сосудов в шейной области. Такие боли возникают из-за малоподвижного образа жизни, неправильной осанки, заболеваний кости в шее.
Шейный остеохондроз
При этой болезни происходит смещение позвонков, после чего появляется шейная и головная боль, болит лоб и зачастую затылок. Иногда протекает вместе с тошнотой, ухудшением зрения, кружится голова, после чего также нарушается координация движений. Могут появляться «мушки» перед глазами. После тренировки начинает болеть голова, теряется способность двигаться. Часто при этой болезни появляется мигрень, болит височная косточка.
Шейный спондилез
Болезнь проявляется как наросты на кости позвоночника, которые мешают двигаться. При этом появляются регулярные боли в голове. После любых движений боль становится только острее. Появляется недосып из-за болей во время сна.
Гипертония
Болезнь, при которой повышается артериальное давление. Протекает вместе с частыми и сильными головными болями в районе затылка. Почти всегда появляется тошнота, усталость, кружится голова, высокая частота сердцебиения.
Шейный миозит
Эта болезнь часто появляется на фоне простуды, а также травм. Может возникнуть из-за долгого неудобного положения. После тряси или движения головой болит затылок или лоб. Часто боль отдается в спину, грудь. Часто боль с одной стороны головы сильнее, чем с другой.
Миогелоз шейного отдела позвоночника
Болезнь, при которой появляются утолщения в шейном отделе, после чего и возникают головные боли и головокружения после или во время тренировки. Также нередкой причиной боли становится невралгия шейных нервов. Боли проявляются как приступы и отдаются в лицо, ухо, шею и спину. При движениях боль только усиливается. Боль имеет резкий и острый характер проявления.
Сосудистые боли, которые появляются из-за воспалений сосудов. Появляется резкая боль в области затылка, болит лоб, особенно сильно проявляются во время каких-либо движений. Менее сильными становятся, если принять лежачее положение. После тренировки боль становится сильная и ярко выраженная, так как связана со спазмом сосудов. Иногда появляются мурашки по всему телу.
Профессиональные боли
Зачастую появляются у тех, кто ведет малоподвижный образ жизни из-за какой-нибудь специализации. Например, если человек работает в офисе или водит машину. Они всегда находятся в сидячем положении, поэтому могут возникать боли.
Повышенное внутричерепное давление
Боль появляется у затылка, начинает болеть лоб другие головные кости, ощущение сдавливания в голове, тяжесть тела, появляется тошнота. Может сопровождаться мигренью, то есть непереносимостью света и звука.
Нарушение прикуса
Из-за, казалось бы, незначительной болезни могут развиваться более тяжелые последствия. Появляется резкая и постоянная боль в области затылка, становится сильнее к более позднему времени суток. Нарушается сон, может длиться несколько дней.
Что следует делать в первую очередь?
Сначала нужно прекратить на время делать тяжелые тренировки, если после них снова болит лоб и затылок. Также если болят кости, то нужно проводить специальные физиотерапии. Исключить стресс и агрессию, то есть для начала навести порядок в себе. Вредные привычки тоже могут быть причиной, из-за чего болит лоб или затылок. Особенно, если боли продолжаются целый год, то стоит уделить пристальное внимание своему образу жизни. Исключить табак и алкоголь. Не делать слишком сложные тренировки.
Еще одной причиной, по которой может болеть лоб и затылок, а также кости – недостаток определенных витаминов в человеческом организме. Это может быть из-за недостатка йода или магния и вообще многих других веществ, которые организм не может сам вырабатывать. В таком случае требуется получить консультацию профессионала и четко ее выполнять.
Чтобы можно было назначить грамотное лечение при сильных болях в затылке и лбу, нужно сначала понять ее причины. Делать это нужно так: пациент должен пройти полное обследование у всех специалистов от невролога до стоматолога, сделать рентгенный снимок шейного отдела позвоночника. На самом деле лечением головных болей занимается далеко не узкий круг специалистов, эти могут заниматься почти все известные врачи. Это зависит от причины боли, которую нужно было выяснить на этапе диагностики. Например, чаще всего этим занимается мануальный терапевт, массажист, очень важны физиотерапии, которые тоже проводят квалифицированные врачи. Особенно если боль вызвана такими заболеваниями как остеохондроз или профессиональные факторы, то очень хорошо может помочь массаж. Но при высоком внутричерепном или артериальном давлении массаж категорически противопоказан, так как вызовет ухудшение, боли только усилятся. Самое лучшее решение от практически любой головной боли – правильная физиотерапия. При остеохондрозе и миогелозе часто делают ультразвуковые, магнитные физиотерапии, также распространен электрофорез. А в случае нарушения прикуса помощь может оказать только хороший стоматолог, так что не стоит затягивать с лечением.
Народная медицина
Как всегда есть и альтернативы лечению в больнице для тех, кто больше предпочитает народную медицину. От головной боли в области лба и затылка может помочь постоянное проведение проветривания в помещении, также нужно увлажнять воздух с помощью особых приборов, для поддержания нормального уровня влажности в воздухе. Помочь может наложение компресса на голову и большее употребление жидкости внутрь. Делать компресс можно из капустных листьев, который перед наложением нужно промять, чтобы он стал мягким. Компресс можно делать также из накрошенного лука и растертого хрена, полезно чаще пить горячий и крепкий чай из ромашки или липы. Также можно употреблять шалфей, мяту и мелиссу. Конечно, нужно абсолютно исключить или хотя бы на время болезни свести к минимуму употребление алкогольной и табачной продукции. Вредные вещества только усилят боль и усугубят положение. Если мучает профессиональное заболевание, то нужно просто обустроить свое место максимально удобно. Лучше приобрести ортопедическую продукцию. На ортопедической подушке сон человека будет заметно улучшен, если была бессонница. Во время сна на такой подушке все мышцы расслабляются и отдыхают.
Источник

Причины состояния
Головная боль и слабость в организме могут появляться по разным причинам:
- развитие простудного или вирусного респираторного заболевания;
- развитие воспалительных процессов в организме;
- снижение артериального давления (гипотония);
- недостаток витаминов и минералов в организме (например, витаминов D и B12, отвечающих за транспортировку кислорода по кровеносным сосудам к головному мозгу);
- бесконтрольный прием некоторых лекарственных средств, вызывающих эти симптомы в качестве побочных эффектов;
- нарушение работы щитовидной железы, сахарный диабет и другие эндокринные патологии;
- эмоциональные нагрузки, стрессы;
- некоторые желудочно-кишечные заболевания, сопровождающиеся нарушением впитывания питательных веществ;
- сердечно-сосудистые болезни;
- менингит;
- доброкачественные и злокачественные опухоли;
- мигрень;
- синдром хронической усталости;
- недосыпание.
Как определить заболевание?
Как мы видим, причин головной боли и усталости может быть очень много. А как выяснить, являются эти симптомы признаками опасной патологии или нет?
Мнение эксперта
Филимошин Олег Александрович
Врач-невролог, городская поликлиника г. Оренбурга.
Образование: Оренбургская государственная медицинская академия, Оренбург.
В этом вопросе важно понимать, что развитие серьезного заболевания всегда сопровождается появлением ряда сопутствующих симптомов, которые позволяют дифференцировать ту или иную проблему.
ОРВИ
Описание
Задайте свой вопрос врачу-неврологу бесплатно
Ирина Мартынова. Закончила Воронежский государственный медицинский университет им. Н.Н. Бурденко. Клинический ординатор и невролог БУЗ ВО «Московская поликлиника».Задать вопрос>>
Группа заболеваний, которые характеризуются развитием острого воспалительного процесса в органах дыхания из-за попадания вирусов в организм.
Тип боли
При ОРВИ она связана с повышением температуры и появлением острого воспалительного процесса в горле, пазухах, носоглотке.
Наиболее часто фокусируется в области лба и висков, сопровождается чувством давления, «распирания» и тяжестью.
Другие проявления
ОРВИ может сопровождаться повышением температуры тела до 38-39 градусов, заложенностью носа, кашлем, воспалением в горле, ломотой в теле, ознобом, общим недомоганием, резью в глазах. Иногда на его фоне появляются другие осложнения (отит, ларингит, бронхит и т.д.).
Методы диагностики и терапии
Диагностику проводит врач терапевт, иногда ЛОР. Назначается лечение в домашних условиях, которое включает: постельный режим, микстуры от кашля, сосудосуживающие капли в нос, растительные отвары для полоскания горла, чай с малиной и медом, средства для укрепления иммунитета (Анаферон, настойка эхинацеи, Иммунал).
Мигрень

Мигрень (migraine) – заболевание неврологического характера, отличительным признаком которого является появление мучительных головных болей, связанных с нарушением работы сосудов.
Мнение эксперта
Митруханов Эдуард Петрович
Врач-невролог, городская поликлиника, Москва.
Образование: Российский государственный медицинский университет, ГБОУ ДПО Российская медицинская академия последипломного образования МЗД РФ, Волгоградский государственный медицинский университет, Волгоград.
Серьезные органические патологии (травмы, опухоли) при этом в картине заболевания отсутствуют.
Тип болевых ощущений
Мигрень сопровождается сильными и мучительными головными болями высокой или средней интенсивности, усиливающимися при движении, эпизодическими или постоянными, возникающими с одной или (реже) с двух сторон. При отсутствии лечения приступы могут длиться до 72 часов.
Другие проявления
Тошнота, рвота, фонофобия (чувствительность к громким звукам), учащенное сердцебиение, частое мочеиспускание, потливость, сонливость, вялость.
Методы диагностики и терапии
Диагностику проводит врач невролог. Диагноз утоняется по анализу жалоб пациента, лабораторным анализам, рентгенологическому снимку, МРТ.
Для лечения применяются: успокоительные средства (экстракт валерианы, Персен, Тенотен), растительные и искусственные антидепрессанты (настойка зверобоя, Амитриптилин), НПВП (Напроксен, Ибупрофен), анальгетики.
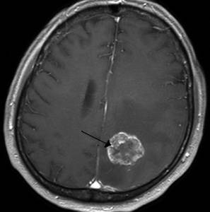
Злокачественная опухоль

Злокачественная опухоль характеризуется появлением патологического новообразования, опасного для человеческой жизни, состоящего из злокачественных раковых клеток, обладающих возможностью быстрого роста и метастазирования.
Тип боли
Интенсивность и характер болевого синдрома зависит от локализации опухоли, тяжести процесса, индивидуальных особенностей организма.
Другие проявления
На начальных стадиях опухоль может никак себя не проявлять вплоть до интенсивного роста новообразования. Тогда самочувствие пациента начинает резко ухудшаться, могут возникать: тошнота, утомляемость, рвота, нарушение слуха и зрения, трудности распознавания речи, расстройства общей и мелкой моторики и т.д.
Клиническая картина при раке очень обширна и многогранная.
Методы диагностики и терапии
Диагностика проводится комплексно и включает: КТ, МРТ, рентгенологическое исследование, лабораторные анализы, гистологию и цитологию. Лечение проводится хирургическое. Пациенту может быть назначен курс химиотерапии или лучевой терапии, а затем длительное медикаментозное поддерживающее лечение.
Менингит

Менингит – тяжелое инфекционное заболевание, характеризующееся воспалением головного и спинного мозга из-за попадания в организм бактерий, вирусов, или грибков.
Возникает как самостоятельное заболевание или в качестве осложнения.
Тип боли
Очень сильная, резкая, диффузная, распирающая, усиливающаяся при движении и повороте головы, а так же от резкого шума и световых раздражителей. При гнойном менингите болевой синдром особенно выражен.
Другие проявления
Пациента могут беспокоить так же: ломота в теле, тошнота, рвота, ригидность шеи, лихорадка, чувствительность к звукам и световым раздражителям, измененное состояние сознания, раздражительность, сонливость.
Методы диагностики и терапии
Для выявления менингита применяется люмбальная пункция. Из позвоночного канала врач извлекает спинномозговую жидкость и направляет ее в лабораторию для дальнейшего исследования. Диагноз подтверждается, если в ней находят вредоносных возбудителей (бактерии, вирусы). Больных менингитом лечат антибиотиками, противовирусными или противогрибковыми препаратами (в зависимости от типа возбудителя).
Иногда назначаются стероидные лекарства.
Боррелиоз

Боррелиоз (Болезнь Лайма) – инфекционное заразное заболевание, передаваемое человеку при укусе насекомыми и клещами.
Тип боли
При боррелиозе больного беспокоят сильные головные боли, чаще локализованные в глазном яблоке, могут отдавать в затылок. Симптомы не проходят даже тогда, когда человек спит.
Другие проявления
Ломота и скованность в мышцах и суставах, высокая температура до 40 градусов, тошнота, рвота, ощущение вялости, нарушение работы ЦНС и сердечно-сосудистой системы.
Болезнь преимущественно поражает кожные покровы, нервную и сердечно-сосудистую систему, опорно-двигательный аппарат.
Способы диагностики и лечения
Болезнь Лайма диагностируется на основании клинической картины, эпидемиологического анамнеза (прогулка в лесу, укус клеща), серологического исследования на выявление антител к боррелиям в сыворотке крови. Может применяться метод ИФА или ПЦР. Лечение назначается комплексное. Выбор препаратов зависит от тяжести болезни. Обязательно назначаются антибиотики, а так же нестероидные противовоспалительные препараты (Напроксен, Индометацин), иммунодепрессанты (Плаквенил), анальгетики, общеукрепляющие средства.
Артериальная гипертония

Заболевание сердечно-сосудистой системы, главным признаком которого является стойкое повышение артериального давления (от 140/90 и выше).
Тип боли
При гипертонии она сжимающая или генерализованная, пульсирующая, иногда вызывает ощущение плотной повязки на голове.
Как правило, сильнее проявляется по утрам, а в течение дня затихает.
Другие проявления
Тошнота, заложенность и шум в ушах, пелена в глазах, учащенное сердцебиение, ощущение давления в глазах, головокружение, вялость, подавленность.
Методы диагностики и лечения
Постановку диагноза осуществляет врач кардиолог на основании анамнеза, жалоб пациента, холтеровского мониторирования, ЭКГ, систематического измерения давления. Лечение комплексное, медикаментозное.
Специалист назначает блокаторы рецепторов ангиотензина, диуретические средства, антогонисты калия, лекарства для очищения сосудов и т.д.
Абузусная головная боль

Специалисты так же называют ее «рикошетной» или «лекарственной». Ее главной причиной является злоупотребление различными аптечными препаратами. Она относится к вторичным формам цефалгий, тесно связана с мигренью.
Тип боли
Проявляется двусторонней цефалгией сжимающего или давящего характера, умеренной или слабой интенсивности. Может быть диффузного характера, локализоваться в лобно-затылочной части или в височной области.
Усиливается при интеллектуальной и физической нагрузке.
Другие проявления
Усталость, вялость, подавленность настроения.
Методы диагностики и терапии
Диагностика осуществляется на основе анамнеза, расспроса пациента о принимаемых препаратах. Для снятия абузуса снижают дозировку принимаемого лекарства или полностью его отменяют, назначают средства от цефалгии, иногда антидепрессанты.
При тяжелом состоянии может потребоваться детоксикация.
Другие причины

- Заболевания придаточных пазух носа (гайморит, этмоидит, фронтит). Болит голова и слабость во всем теле, заложенность носа, давление и тяжесть в голове при наклоне вниз – типичные жалобы при синуситах, которые описывает пациент на приеме у специалиста
- Аллергические реакции. Особенно часто с этими симптомами сталкиваются весной в период активного цветения при аллергии на пыльцу растений и цветов. Пациенты жалуются, что у них болит голова и хочется спать, заложен нос, появляется слезотечение, сыпь на коже и другие признаки поллиноза.
- Гиперсомния — продолжительность ночного сна без объективной необходимости и усталость днем. Сонливость, усталость, головная боль – главные признаки этого состояния. Кстати, астения является разновидностью гиперсомнии.
- Анемия (малокровие) так же характеризуется вялостью, усталостью, болевым синдромом. У пациентов с анемией отмечается снижение гемоглобина, недостаточность функционирования эритроцитов, нехватка кислорода в крови. Отсюда и появляются все эти неприятные симптомы.
- Сахарный диабет и другие проблемы в области эндокринологии тоже являются причиной появления перечисленных симптомов. Диабет сопровождается так же повышением уровня сахара в крои, пониженным давлением, головокружением, сонливостью, жаждой.
Обратите внимание, что это лишь часть тех возможных болезней, при которых могут возникать слабость и головная боль.
Истинную причину этих симптомов может выяснить только специалист.
Алгоритм диагностики
Способы и методы диагностики подбираются индивидуально. Вначале врач осматривает пациента, оценивает характер жалоб, расспрашивает о недавно перенесенных болезнях и хронических недугах. Затем врач уточняет локализацию болевых ощущений, их длительность, частоту возникновения и т.д.
Примерный список вопросов
- Как давно вас беспокоит болевой синдром и слабость?
- Можете ли вы указать, в каком месте вы ощущаете болевые ощущения?
- Как часто вас беспокоят эти симптомы?
- Ощущаете ли вы тошноту в момент приступов?
- Возникают ли у вас головокружения?
- Усиливаются ли симптомы при физической нагрузке?
- Влияет ли ваше состояние на общую активность в течение дня?
- Наблюдали ли вы у ваших родственников похожие признаки?
- Чем вы снимаете неприятные ощущения?
- Какие лекарственные препараты принимаете в настоящее время?
- Какими заболеваниями болели в ближайшие месяцы?
- Какие есть хронические заболевания вас и у ближайших родственников?
Если консультации с пациентом будет недостаточно, врач назначает дополнительные методы диагностики, например, лабораторные анализы, ЭКГ, МРТ и т.д.
На основании полученных данных будет выставлен точный диагноз.
Как снять симптомы самостоятельно?
Если неприятные симптомы были вызваны физической усталостью, умственными нагрузками или напряжением в течение рабочего дня, болевой синдром можно устранить самостоятельно, не прибегая к лекарственным препаратам.
Положительное действие оказывают пешие прогулки на свежем воздухе, контрастный душ, принятие теплой ванны с морской солью, проветривание помещения, медитация. Можно просто полежать, расслабиться, послушать спокойную музыку, почитать легкую интересную книгу.
Если болит голова, можно сделать ароматный чай с листьями мяты, шиповником, лимоном, клюквой или ромашкой. Такие напитки обладают общеукрепляющим, успокаивающим действием, придают сил, повышают иммунитет, улучшают работу головного мозга.
В некоторых случаях возможен прием простых обезболивающих средств (Ношпа, Спазган).
При этом следует помнить, что у каждого средства есть противопоказания и побочные действия, поэтому лучше перед их применением посоветоваться с врачом.
В каком случае обращаться к врачу?
Пациенту важно знать! Если болевые ощущения в голове и усталость сопровождаются другими симптомами (тошнота, рвота, нарушение зрения, чувствительность к громким звукам, дезориентация в пространстве и т.д.), следует незамедлительно обратиться к врачу для оказания помощи!
Посмотрите видео на эту тему

Заключение
Слабость и головная боль – распространенные симптомы, с которыми врачам приходится сталкиваться в клинической практике достаточно часто. Чаще всего они не представляют угрозы для здоровья и жизни пациента, легко купируются домашними и легкими медикаментозными средствами.
Но бывают ситуации и более тяжелые, когда признаки эти могут указывать на развитие серьезных заболеваний. Поэтому врачи советуют быть внимательными к своему самочувствию и при необходимости не откладывать визит к врачу. Будьте здоровы.
Источник

