Если болит голова какое мрт нужно сделать

Чаще всего мы не обращаем внимания на головные боли, не придаем значения частоте их возникновения. Каждый раз мы принимаем таблетки, не задумываясь, что это всего лишь способ на время снять дискомфортные болезненные ощущения. Головная боль — это такой же признак проблем со здоровьем, как жар при простуде или боль в животе при заболеваниях ЖКТ.

Процедура МРТ при головных болях

У головных болей может быть разная природа и разные причины. И для того чтобы получить ответ на вопрос пациента: «Почему у меня болит голова?», — доктор должен дать направление на диагностику и назначить обследования. 

В качестве основного метода диагностики используются МРТ и КТ:

  • МРТ (магнитно-резонансная томография) — это процедура, которая дает полное представление о состоянии исследуемой части тела пациента, а также о наличии или отсутствии того или иного заболевания. При МРТ четкие снимки получаются за счет обследования организма человека посредством воздействия магнитного поля.
  • КТ (компьютерная томография) — это метод диагностики, который также дает четкое изображение обследуемой области, но посредством воздействия на нее рентгеновских лучей, направляемых под разными углами.

Зачем делать МРТ головы при головных болях?

МР-томография диагностирует: наличие или отсутствие опухолей головного мозга, нарушений мозгового кровообращения, поражений сосудов (например, аневризмы), последствий ряда заболеваний и инсульта. Обследование дает информацию о наличии или отсутствии серьезных болезней, признаком которых являются хронические или периодические головные боли.

Если у вас болит голова, то врач даст направление на МРТ или КТ. Данные обследования позволяют получить подробную информацию о патологиях, если они есть, но не всегда дают информацию о причинах возникновения болей в голове. При необходимости специалист должен провести более подробное обследование пациента.

Диагностика мигрени при помощи МРТ

Сильные и продолжительные головные боли с одной стороны головы (реже — с обеих), которые сопровождаются такими симптомами, как раздражение, плохое самочувствие, тошнота, рвота и прочее, могут указывать на мигрень или на заболевания головного мозга, которые имеют схожую симптоматику.

МРТ при мигрени назначают для выявления патологий сосудов головы, структурных изменений головного мозга, органических поражений тяжелых форм и прочих патологий. 

Что покажет МРТ при мигрени? Приступ мигрени выражается в расширении сосудов в мозге, после чего случается резкий (и болезненный для человека) спазм. МР-томограф фиксирует нарушения кровотока (при приступах) и отражает ишемические очаги, появляющиеся в большом количестве.

Какую МРТ нужно делать при головной боли?

Обследование должно быть максимально полным, чтобы врач мог составить оптимальный план по решению проблемы и выяснить, почему у пациента болит голова. Одно из первых и основных исследований — это МРТ головного мозга

Если оно не дает необходимой картины по проблеме, то может быть назначена , а также: МРТ шейного отдела позвоночника

  • ультразвуковое дуплексное сканирование сосудов шеи;
  • суточное мониторирование артериального давления и ЭКГ;
  • анализы крови и мочи.

Какую МРТ или другой метод диагностики потребуется сделать при головных болях, определяет врач после сбора анамнеза и первичного осмотра пациента.

Определяемые типы головной боли

Головная боль бывает разной и возникает при разных обстоятельствах, а также характеризуется различной симптоматикой.

Синусная боль

Данный тип боли появляется по причине воспаления в носовых пазухах, для которого характерны насморк и заложенность носа, отек слизистой. При этом начинает болеть лоб и вся зона вокруг носа. Синусная боль исчезает, когда проходит причина ее возникновения — воспаление.

При нарушении кровообращения в мозгу

Нарушение мозгового кровообращения может носить острый или хронический характер и сопровождаться головными болями. При разной клинической картине это может быть острая боль в голове и глазных яблоках или боль вместе с головокружением, тошнотой, плохим сном и т.д.

После поражения мозговых тканей

Данный тип головной боли возникает после травм (при травмах поверхностных тканей), кислородного голодания тканей, при скоплении жидкости в тканях и пр. Мягкие ткани головного мозга имеют большое количество нервных окончаний. Болезненность часто возникает на поверхности головы и может носить неврологический характер.

При остеохондрозе шеи

При остеохондрозе головная боль появляется в шее и в затылке, а потом переходит в одну из половин головы. Боль может различаться по интенсивности и носить разный характер, а также сопровождаться головокружением и тошнотой.

Как проводится МРТ головного мозга?

Для проведения процедуры пациент ложится на стол-транспортер, который заезжает в томограф — сканирующее устройство. На время обследования пациент остается в трубе и должен сохранять неподвижность, чтобы картина получилась четкой. Процедура может занимать разное время — от 15 минут.

Особой подготовки к не требуется, но необходимо предупредить врача, если у вас клаустрофобия (это может послужить противопоказанием к проведению процедуры). Если во время МРТ вы почувствуете недомогание, то об этом можно будет незамедлительно сообщить специалисту, проводящему процедуру МРТ головы.

Головные боли после МРТ: что делать?

На сегодняшний день МРТ считается одной из самых безопасных диагностических методик, но в некоторых случаях пациенты жалуются на возникновение сильной боли в затылке или макушке. Иногда человека тошнит, кружится голова.

Данная симптоматика возникает в силу индивидуальных особенностей организма и повышенной чувствительности к воздействиям подобного рода. Обычно симптомы носят временный характер и проходят в течение суток. При необходимости врач может дать рекомендации для того, чтобы снять симптомы.

Источник

Головная боль является самым распространенным в мире из неспецифических симптомов. Такие боли могут сами по себе указывать на определенные заболевания, а также имеет свою непосредственную разновидность.

Виды

Среди всех видов головной боли самую большую распространенность получила мигрень и стандартное напряжение.

И та и другая разновидность может сопровождаться легкой скованностью, а может серьезными и сильными болями.

Боль чувствуется в области висков или же отдает на глаза, в область затылка или же в район свода черепа.

Довольно часто при различных болях в голове может быть вегетативное расстройства, то есть, проблемы в ходе дыхательного процесса, быстрая усталость и так далее.

Мигрень имеет приступообразную форму, которая также сопровождается сильными болями в голове. Боль исходит посредством пульсации. Такие приступы могут быть вызваны ярким светом или же другими видами раздражителей, а также постоянной усталостью. Как правило, подобные головные боли длятся до нескольких часов, в лучшем случае они заканчиваются через полчаса.

Также специалисты выделяют третий распространенный вид боли в голове, который имеет название кластерная или же другими словами пучковая. Главной отличительной чертой такой боли является моментальное появление ее. Кроме того, пучковая головная боль ощущается человеком исключительно на одной стороне головы. Подобные виды приступов могут повторяться на протяжении нескольких месяцев, а могут закончиться за неделю.

Причины возникновения

Боль в голове может иметь абсолютно разное начало, от банальной усталости до заражения какой-либо инфекцией. Но, несмотря на первоначальную причину, механизм создания болевых ощущений одинаковый. Рассмотрим его более детально.

Сначала начинается воспалительный процесс, что затрагивает участки ЦНС человека. Далее осуществляются раздражения оболочек головного мозга.

Это происходит по двум причинам, в первую очередь отмечается повышение давления спинномозговой жидкости, а вторая причина — это отравление организма. В конце процесса происходит спазм и кровеносные сосуды расширяются.

Некоторые специалисты выделяют теорию о психическом источнике головной боли. С первого взгляда причину боли данного типа очевидно узнать. Но причин на самом деле может быть очень большое количество. Рассмотрим наиболее распространенные из них:

  1. заболевания, которые были вызваны инфекцией;
  2. различные опухоли в области головы;
  3. повышение артериального давления;
  4. болезни в области носовых пазух;
  5. сбой в области гормонов;
  6. восприимчивость человека к погодным условиям.

Обследования

Первичным врачом, к которому нужно обратиться, является невропатолог. Какие обследования проходят пациенты, если у них болит голова? Список направлений может дать только врач. В первую очередь осуществляется опрос пациента, врач интересуется длительностью боли, ее характером и так далее.

Справка: Для того чтобы первичная диагностика заболевания была пройдена, нужно пройти осмотр у нескольких врачей, таких как невролог, стоматолог, окулист, сдать анализы. Но, как правило, необходимо проходить обследования с применением новейших медицинских процедур.

Дифференциальная диагностика

По той причине, что боль в голове может иметь большое количество симптомов, крайне необходимо осуществить дифференциальную диагностику. Для каждого врача главной задачей является определить связь конкретной головной боли с определенной болезнью. Нужно понимать, что при лечении исключительного симптома пользы не будет.

Представляем вам последовательность всего необходимого обследования:

  1. В первую очередь осуществляется опрос пациента. Для врача важно узнать срок болевых ощущений, их последовательность, характер и место боли. Также важно узнать реакцию организма больного на прием анальгетиков. Зачастую большинство людей не могут описать подобную боль, когда они впервые попали к врачу с такой проблемой;
  2. После того, как общий опрос будет пройден, врачи назначают определенные исследования, которые нужно пройти в ближайшее время. Но важно подобрать правильные диагностические мероприятия, чтобы пациент быстрее получил свой курс лечения.

Какое МРТ делать?

Если боль в голове невероятно сильная и длится уже достаточно долгий период, а также имеет множество симптомов, которые связаны с раздражением, плохим сном, расстройством желудка, рвотой и тошнотой, то это говорит о каких-то серьезных заболеваниях в области головного мозга.

Если при диагностике назначается проведение МРТ головного мозга, то это нужно сделать с целью проверки патологий сосудов.

Мигрень происходит по той причине, что сосуды в мозге человека сокращаются в определенный момент.

За счет этого в головном мозге случается спазм. Томограф данного типа позволяет узнать о нарушениях кровотока, а также отражения различного ишемического типа.

Некоторые пациенты сталкиваются с проблемой после МРТ – начинает сильнее болеть голова. Природа этого явления еще не выявлена – построение изображения выполняется за счет электромагнитного воздействия, а оно для организма безвредно.

В любом случае различные обследования должны иметь полный характер. Это позволит врачу увидеть всю картину заболевания и назначить максимальное точное лечение. За счет полной диагностики получится узнать причину боли в голове. Как правило, специалисты в первую очередь делают МРТ мозга.

Важно! Если даже после подобной процедуры не станет ясна причина боли в голове, то потребуется дополнительная диагностика в виде МРТ, но уже позвоночника тела человека, а именно его шейного отдела.

Такие процедуры осуществляются не зависимо от того, есть ли в данный момент головные боли. Полноту информации для врача даст полный сбор анамнеза.

Предлагаем Вам ознакомиться с интересным видео по теме:

МРТ головного мозга: ответы на самые частые вопросыМРТ головного мозга: ответы на самые частые вопросы

Электроэнцефалография

Данная процедура является достаточно полезной в плане сбора анамнеза при болях в голове. С ней можно увидеть то, где именно есть отклонения в работе мозга, где есть поражения сосудов, а также малейшие признаки только начинающихся опухолей.

Рентген

За счет рентгена можно определить есть ли гидроцефалия, а также любые другие травмы.

Такой не хитрый процесс осуществляется за счет того, что так называемые рентгеновские лучи проходят сквозь организм человека и все его ткани.

Нужно понимать, что совершенно не все ткани могут принимать такие лучи, так как они разные по плотности. Подобная особенность может фиксироваться на определенной пленке в виде менее яркого цвета.

Что же касается мягких тканей, то они отображаются в виде более темного цвета.

За счет таких особенностей, врач может определить поврежденные ткани, узнать причину этого повреждения и назначить непосредственное лечение. Такой метод обследования простой и не требует задействовать серьезную аппаратуру. Кроме того, он имеет гораздо ниже цену по сравнению с предыдущими. Именно по данной причине его используют, как один из первых при всех видах диагностики. Но стоит знать, что рентген в области головы осуществляется для определения целостности костей мозга человека.

Компьютерная томография

Подобный вид диагностики указывает на то, есть ли какие-либо изливания крови внутри головного мозга, а также об имеющихся изменениях структуры. Такой способ проверки помогает четко определить, есть ли определенные опухоли в организме и в голове частности, различные кисты, аневризмы и так далее.

Электромиография

Подобный вид обследования проводится с целью определить повреждения нейромышечного аппарата организма человека. То есть, речь идет о повреждениях нервных волокон.

Лабораторные исследования

Лабораторные процедуры направлены на определение наличия инфекции в организме человека, а также различных видов воспалений.

УЗИ

Расшифровывается данное диагностическое мероприятие, как ультразвуковая диагностика. В данном случае это касается головы и проверяется наличие атеросклерозов, а также других проблем, которые связаны с сосудами, артериями и иными непосредственными капиллярами.

Заключение

Категорически запрещено ставить себе диагноз самостоятельно. Головная боль может стать проявлением серьезных заболеваний в виде опухоли мозга и кровоизлияния в мозг. Поэтому алгоритм лечения головной боли обязательно должен начинаться с посещения врача. После, следуя его рекомендациям, помочь себе избавиться от этого недуга.

Источник

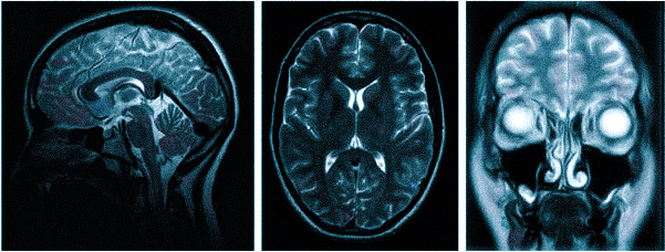
МРТ при головных болях (в трех проекциях): специальная программа выстраивает объемные изображения полученных срезов, что позволяет увидеть даже мельчайшие изменения и отдифференцировать патологию от нормы

МРТ при головных болях (в трех проекциях): специальная программа выстраивает объемные изображения полученных срезов, что позволяет увидеть даже мельчайшие изменения и отдифференцировать патологию от нормы

 Причин головной боли множество, и их не всегда возможно определить без помощи современных способов визуализации. Цефалгию вызывают: повышенное внутричерепное давление, сосудистые мальформации, опухолевые процессы, постравматические осложнения. Какую МРТ делать при головной боли или предпочтительней пройти КТ — зависит от предполагаемого характера патологии. Все методы являются взаимодополняющими, но что лучше в конкретном случае, выбирает врач с учетом жалоб, показаний и противопоказаний. МРТ и КТ с контрастным усилением позволяют получить сопоставимые по качеству снимки, но при этом используют разные принципы построения изображений. Чем раньше будет найдена причина и проведено адекватное лечение, тем больше шансов на полное выздоровление.

Какую МРТ делать при головных болях?

Выделяют несколько видов магнитно-резонансной томографии головы: нативную, усиленную  контрастным препаратом и сканирование в ангиорежиме. К каждому исследованию есть свои показания, поэтому ответить на вопрос: “Какую МРТ делать при головной боли?” — не всегда возможно. Врач выбирает нужный тип диагностики, опираясь на клиническую картину. В оценке опухолевых новообразований и для определения стадийности (в том числе — метастатического распространения) используют МРТ с контрастированием. Введение препаратов на основе хелатов гадолиния позволяет рассмотреть даже небольшие опухоли в труднодоступных местах, поэтому магнитное сканирование с усилением с успехом применяют, если прочие способы визуализации показали неоднозначные результаты. При подозрении на сосудистое заболевание головного мозга оптимальным выбором будет проведение сканирования в ангиорежиме.

Причины головной боли

Необъяснимая цефалгия, возникающая регулярно и ухудшающая качество жизни не есть норма. Сильная боль -веский повод сделать МРТ головного мозга и не заниматься самолечением

Необъяснимая цефалгия, возникающая регулярно и ухудшающая качество жизни не есть норма. Сильная боль -веский повод сделать МРТ головного мозга и не заниматься самолечением

 Любая повторяющаяся головная боль — сигнал о патологическом процессе, который требует уточнения. Принимать самостоятельно таблетки для  купирования симптоматики — не самый разумный вариант, потому что препараты устраняют следствие, но не влияют на причину цефалгии. Бесконтрольное лечение имеет ряд осложнений: доказано, что некоторые анальгетики способствуют развитию злокачественных новообразований в почках и мочевом пузыре. Длительный прием лекарств может привести к нефропатии с гибелью ренальных структур и развитию ХПН (хронической почечной недостаточности).

Если болит голова, что может показать МРТ головного мозга:

  • опухолевые процессы доброкачественного или злокачественного генеза;

  • последствия травм (гематомы, кровоизлияния);

  • демиелинизацию  при рассеянном склерозе и иных атрофических процессах;

  • инфекционные поражения;

  • аневризмы, диссекции, стенозы и сосудистые мальформации, включая врожденные аномалии развития кровеносного русла;

  • дегенеративные процессы в сосудах на фоне генерализованного атеросклероза;

  • острые (ишемический или геморрагический инсульт) и хронические нарушения мозгового кровообращения.

Причиной ноющей боли в затылочной зоне при нормальном артериальном давлении чаще является остеохондроз. При повышении температуры, выраженной слабости, напряжении мышц необходимо исключить менингит. Внезапное развитие острого болевого синдрома в области затылка с последующим его распространением на другие зоны головы подозрительно на субарахноидальное кровоизлияние (разновидность инсульта).

Частые головные боли

Онкологи считают, что при нарастающих головных болях с прочими необъяснимыми симптомами (обмороками, ухудшением памяти, выпадением полей зрения, давлением на глазные яблоки и др.) в первую очередь следует исключить опухолевую патологию

Онкологи считают, что при нарастающих головных болях с прочими необъяснимыми симптомами (обмороками, ухудшением памяти, выпадением полей зрения, давлением на глазные яблоки и др.) в первую очередь следует исключить опухолевую патологию

 Частые головные боли вызывают разные причины. Иногда так проявляется серьезное заболевание. В 90% случаев после определения генеза возможно адекватное лечение, которое улучшит качество жизни. Состояния, для которых типична цефалгия::

  • мигрень;

  • гипертония;

  • посттравматические осложнения;

  • опухоли;

  • сосудистые заболевания.

Если причина не установлена, обосновано прохождение МРТ головы при головных болях. Не стоит подозревать у себя смертельную патологию. Например, если болит затылок, возможной причиной является переутомление, а нормализация режима труда и отдыха поможет справиться с проблемой. При повышенном давлении часто присутствует головокружение, покраснение кожных покровов, шум в ушах. Боль в лобной части головы вторична и проходит после приема гипотензивного лекарства. Но гипертония может быть связана с патологией сосудов или опухолевой компрессией, поэтому прохождение МРТ при сильных головных болях — важный аспект в дифференциальной диагностике.

Если делать МРТ, когда не болит голова

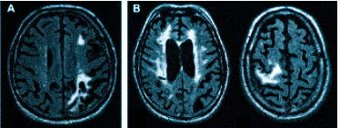
Множественные ишемические очаги при сосудистой деменции на МРТ: отсутствие памяти на недавние события и неадекватное поведение не являются признаками старости, своевременная диагностика деменции и патогенетическая терапия помогут замедлить прогрессирование болезни

Множественные ишемические очаги при сосудистой деменции на МРТ: отсутствие памяти на недавние события и неадекватное поведение не являются признаками старости, своевременная диагностика деменции и патогенетическая терапия помогут замедлить прогрессирование болезни

 МРТ — обследование, которое проводят не только при головной боли. Магнитно-резонансная томография поможет установить причины следующих жалоб:

  • необъяснимые с помощью первичной диагностики кратковременные потери сознания;

  • мелькание мушек перед глазами, прогрессирующее ухудшение зрения (в составе комплексной офтальмологической диагностики);

  • повышение артериального давления, устойчивость к приему гипотензивных препаратов;

  • периодическая тошнота, рвота при обнаружении изменений глазного дна (признаки повышенного внутричерепного давления);

  • эпилептические припадки;

  • ухудшение памяти, слабоумие (деменция);

  • постоянный шум в ушах;

  • дискоординированность движений (шаткая походка, подволакивание нижних конечностей и пр.);

  • головокружение.

Врач определяет не только вид обследования, но и его объем. Иногда требуется дать оценку не только структурам мозга, но и воротниковой зоны: голова может кружиться и болеть при шейном остеохондрозе, грыже, воспалении нерва и пр.

МРТ головного мозга — необходимость при некоторой эндокринологической патологии, так как гормональные нарушения могут быть обусловлены сдавлением опухолью важных структур, отвечающих за деятельность желез. Томограммы показывают изменения со стороны гипоталамуса и гипофиза. МРТ при головных болях и головокружении, при подозрении на опухоль или сосудистые патологии можно пройти в диагностическом центре “Медицина Северной столицы”.

Виды головной боли

Боль при шейном остеохондрозе изначально возникает в затылке, а по мере прогрессирования патологии распространяется на лобно-височную область головы

Боль при шейном остеохондрозе изначально возникает в затылке, а по мере прогрессирования патологии распространяется на лобно-височную область головы

 Болевой синдром при различных патологиях имеет разную интенсивность, локализацию, длительность и может сопровождаться рядом других неприятных симптомов: тошнотой, выпадением полей зрения, потерей сознания и пр. Цефалгия развивается самостоятельно или сопутствует какому-либо состоянию. Специалисты едины во мнении: если регулярно беспокоит ноющая, мигренеподобная, распирающая и другая головная боль в темечке, затылке, висках, следует обратиться на очную консультацию и пройти первичную диагностику:

  • общий анализ крови;

  • тонометрию (измерение артериального давления);

  • УЗДГ сосудов головы и шеи;

  • рентгенографию костей черепа.

Не всегда данные обследования способны выявить органическую причину, поэтому возникает необходимость сделать МРТ головы. Томограммы позволяют предположить доброкачественный или злокачественный генез поражения, но окончательная верификация диагноза происходит только при морфологическом исследовании (кусочек ткани с подозрительного участка оценивают гистологи под микроскопом).

Головная боль после МРТ

Не стоит бояться прохождения обследования: страхи иррациональны, а головная боль после МРТ -  реакция на стресс или симптом заболевания, по поводу которого и проводится диагностика

Не стоит бояться прохождения обследования: страхи иррациональны, а головная боль после МРТ —  реакция на стресс или симптом заболевания, по поводу которого и проводится диагностика

 МРТ — неинвазивный способ обследования, в основе которого лежит построение изображений с помощью радиоволн и мощного магнитного поля, что абсолютно безопасно для здоровья. Головные боли после МРТ могут обуславливаться нервным перенапряжением в ожидании результата и являются индивидуальной реакцией человека на стрессовую ситуацию. Магнитно-резонансное сканирование длится около 30-40 минут, важна максимальная неподвижность пациента. Шум работающей аппаратуры по желанию можно нейтрализовать с помощью наушников с музыкой. Каких-либо болевых ощущений в ходе диагностической процедуры нет. При необходимости отслеживания ситуации в динамике возможно повторное прохождение МРТ. Некоторые впечатлительные пациенты отмечают усиление головной боли после исследования, но специалисты считают, что это связано с основным заболеванием или самовнушением. Цефалгией функционального или психогенного генеза занимаются неврологи, психиатры или терапевты, МРТ помогает установить изменения органического характера.

Что покажет МРТ головы с контрастом

После контрастирования при МРТ детализация мелких структур значительно выше. Магнитно-резонансную томографию с усилением предпочитают онкологи, так как можно увидеть контуры опухоли, определить степень ее инвазии (прорастание в близлежащие ткани), диагностировать метастазы. МРТ с введением контраста лучше показывает изменения после операции, патологические очаги в головном мозге на фоне рассеянного склероза, при болезни Альцгеймера. Чаще используют препараты на основе хелатов гадолиния. Мировая практика подтверждает высокий профиль безопасности: при грамотном применении осложнения встречаются крайне редко.

В каких случаях противопоказаны МРТ и КТ

Перед прохождением диагностической процедуры ознакомьтесь со списком противопоказаний

 МРТ и КТ не назначают на раннем сроке гестации (до 12 недель), но если есть веские показания (состояния, угрожающие жизни), обследование по направлению консилиума возможно. Магнитно-резонансное сканирование противопоказано, если  ранее выполнены операции по установке электронных устройств или ферромагнитных имплантов. Относительное ограничение для диагностической процедуры — клаустрофобия или невозможность в силу каких-либо причин лежать неподвижно. Этим пациентам МРТ при головной боли и головокружении выполняют в стационаре с предварительным введением лекарств, способствующих седативному сну.

КТ с контрастным усилением проводят только по направлению, так как противопоказаний к данному обследованию, по сравнению с МРТ, больше:

  • аллергия на йод;

  • сахарный диабет (прием Метформина и аналогов);

  • гиперфункция щитовидной железы;

  • заболевания почек с повышением уровня креатинина крови;

  • беременность на любом сроке.

Пациентам, страдающим сахарным диабетом, следует прекратить прием Метформина за 48 часов до диагностической процедуры, по предварительному согласованию с эндокринологом. Кормящим мамам рекомендуют сделать запас молока на два последовательных кормления.

Современные способы визуализации в большинстве наблюдений дополняют друг друга, МРТ или КТ делать при головной боли, зависит от конкретной ситуации. Чтобы избежать ненужной диагностики, лучше, если исследование выберет врач.

Источник

Ссылка на основную публикацию
Похожее