- 14 Августа, 2018
- Ортопедия и травматология
- Петр Иванов
По международной медицинской статистике, наиболее распространенной травмой конечностей является перелом лодыжки. Он всегда сопровождается сильными болевыми ощущениями. В зависимости от тяжести повреждения могут быть сломаны одна или несколько костей, составляющих голеностопный сустав. «Возрастных предпочтений» этот недуг не имеет. Пострадать могут как мужчины, так и женщины, независимо от уровня активности их повседневной жизни. В нашей обзорной статье мы постараемся ответить на вопросы, почему после перелома лодыжки болит нога и что делать, чтобы минимизировать последствия этой серьезной травмы.
Причины
Причины, довольно часто приводящие к переломам лодыжки (боль при этом является одним из основных сопровождающих признаков), профессионалы-медики подразделяют на две группы:
- прямые (травматические);
- косвенные (то есть имеется в виду патологическая или физиологическая предрасположенность некоторых людей к тем или иным переломам).
Первые обычно сопровождаются:
- неудачным приземлением с высоты (в большинстве случаев даже весьма незначительной);
- столкновением с посторонним предметом при быстрой ходьбе или беге;
- падением с велосипеда, мотоцикла или другого транспортного средства;
- автомобильной аварией;
- неравномерным упором на стопу при преодолении бордюров или лестниц;
- падением на ногу тяжелых предметов;
- другими механическими воздействиями (сильным сдавливанием, скручиванием), превышающими прочность составных костей лодыжки.
Вторые могут быть обусловлены:
- общим дефицитом кальция в организме;
- повышенной хрупкостью костных тканей (в результате перенесенных заболеваний или длительного приема определенных лекарственных препаратов);
- значительным увеличением нагрузки на голеностоп у женщин в период беременности;
- интенсивным ростом неуспевающих окрепнуть костей в переходном возрасте (то есть у подростков);
- длительными нагрузками на стопу (например, у военнослужащих, спортсменов или профессиональных танцоров);
- увеличением хрупкости костей у пожилых людей.
Разновидности
Как долго будет болеть нога после перелома лодыжки и сколько времени потребуется на восстановление ее полной функциональности во многом зависит от тяжести травмы. Повреждения могут быть:
- открытыми (их относят к наиболее тяжелым травматическим случаям), при которых наблюдаются наружные раны (через которые, зачастую, видны поврежденные части кости) кожи и мышц;
- закрытыми, при которых мягкие ткани не повреждены.
По наличию относительного сдвига частей сломанной кости различают переломы лодыжки:
- со смещением (внутрь или наружу);
- без смещения.
На заметку! Также такие повреждения могут дополнительно сопровождаться вывихом или подвывихом стопы.
Внешние симптомы
Помимо того, что после перелома лодыжки болит нога (в районе голеностопного сустава), это травматическое повреждение сопровождается следующими внешними симптомами (в зависимости от вида и сложности):
- Резким хрустом во время инцидента или сразу после него, когда человек пытается самостоятельно встать на ноги. Наличие этого симптома является явным признаком перелома (вероятнее всего, со смещением обломков).
- Отечностью голеностопа и стопы, которая проявляется практически одновременно с получением травмы и может увеличиваться с течением времени. При этом болевые ощущения усиливаются из-за увеличения давления распухших тканей на поврежденные части кости, мышц и сосудов.
- Визуально заметной деформацией голеностопного сустава (в основном, при переломах со смещением).
- Гематомой (внутренними кровоподтеками, синяком или покраснением), вызванной повреждением кровеносных сосудов.
- Нарушениями кожных покровов и ранами (при открытых переломах).
- Ограничением (или полным отсутствием) двигательных возможностей поврежденной конечности.
- Частичным онемением, свидетельствующим о повреждениях нервных окончаний (или их сдавливании вследствие отека).
- Травматическим шоком, сопровождающимся резким скачком (увеличением или понижением) артериального давления и снижением общей активности, вплоть до потери сознания.
Что делать (после перелома лодыжки болит нога, появилась гематома, отек и так далее) и как помочь пострадавшему? Прежде всего, независимо от степени выраженности первоначальных симптомов, надо:
- незамедлительно вызвать скорую;
- до приезда медиков оказать пострадавшему посильную первую помощь.
Первая помощь
При малейшем подозрении на перелом (по внешним признакам или ощущениям пострадавшего человека) еще до приезда медицинских работников следует оказать ему первую помощь всеми общедоступными способами:
- Прежде всего, обеспечиваем человеку покой (самостоятельное передвижение может только усугубить последствия травмы), причем, если возникает необходимость переложить его на более удобное место, то делать это необходимо с предельной осторожностью.
- Так как после перелома лодыжки нога болит (зачастую достаточно сильно) даем пострадавшему один из общедоступных безрецептурных анальгетиков. Название примененного лекарства и его дозировку в обязательном случае сообщаем медицинским специалистам, сразу же после их прибытия.
- Фиксирующую шину из подручных материалов накладываем только в том случае, если имеется хотя бы минимальный медицинский опыт проведения таких процедур.
- К поврежденному месту прикладываем лед, обязательно обернув его тканью. Если есть наружные повреждения, следим, чтобы вода ни в коем случае не попала в раны.
- Так как после перелома лодыжки нога отекает (и болит, естественно) аккуратно подкладываем под голеностопный сустав валик из мягких подручных материалов (например, верхней одежды) и придаем поврежденной конечности наклонное положение. Это позволит хотя бы в незначительной степени уменьшить отек и снизить болевой синдром.
- При открытом переломе с явно выраженным артериальным кровотечением накладываем жгут выше раны (лучше всего на бедро).
Диагностика
От того, насколько оперативно и правильно произведена диагностика полученной травмы, зависит метод ее лечения (и естественно, его продолжительность) и время, необходимое для последующей реабилитации.
Прежде всего, врач-травматолог производит внешний осмотр пострадавшего и уточняет обстоятельства получения повреждения лодыжки. Затем для выяснения сложности полученной травмы специалист в обязательном порядке направляет больного на рентгенографию. Обычно, для постановки точного диагноза (типа перелома и степени смещения обломков, если они присутствуют) необходимо сделать снимки как минимум в двух проекциях.
Если после проведения такого инструментального обследования клиническая картина полученного повреждения ясна, то врач назначает соответствующий способ лечения. При возникновении сомнений (когда данная процедура не позволяет определить степень сложности полученных травм) может потребоваться проведение дополнительных аппаратных исследований:
- магнитно-резонансной или компьютерной томографии;
- ультразвукового обследования.
Многосторонняя комплексная диагностика позволяет в полной мере оценить не только тяжесть повреждения костей, но и состояние мышечной, сосудистой и нервной систем в области перелома.
Способы лечения
Способ терапии выбирают в зависимости от сложности полученной травмы, а не от того, как сильно и сколько болит нога после перелома лодыжки. На практике обычно применяют два основных метода устранения последствий такого повреждения голеностопа:
- Консервативный (без хирургического вмешательства). Этот способ применяют при переломах без смещения (когда врачу удается благополучно вернуть осколки в необходимое положение руками) и разрыва связок. Он заключается в наложение фиксирующей гипсовой лонгеты. Правильность ее установки обязательно проверяют последующим проведением рентгеновского снимка. Длительность ношения гипса зависит от скорости сращивания костей в месте перелома и может составлять от 1 до 3 месяцев. Если при переломе лодыжки после снятия гипса болит нога (что наблюдается достаточно часто), врач назначает на период реабилитации медикаментозное и физиотерапевтическое лечение.
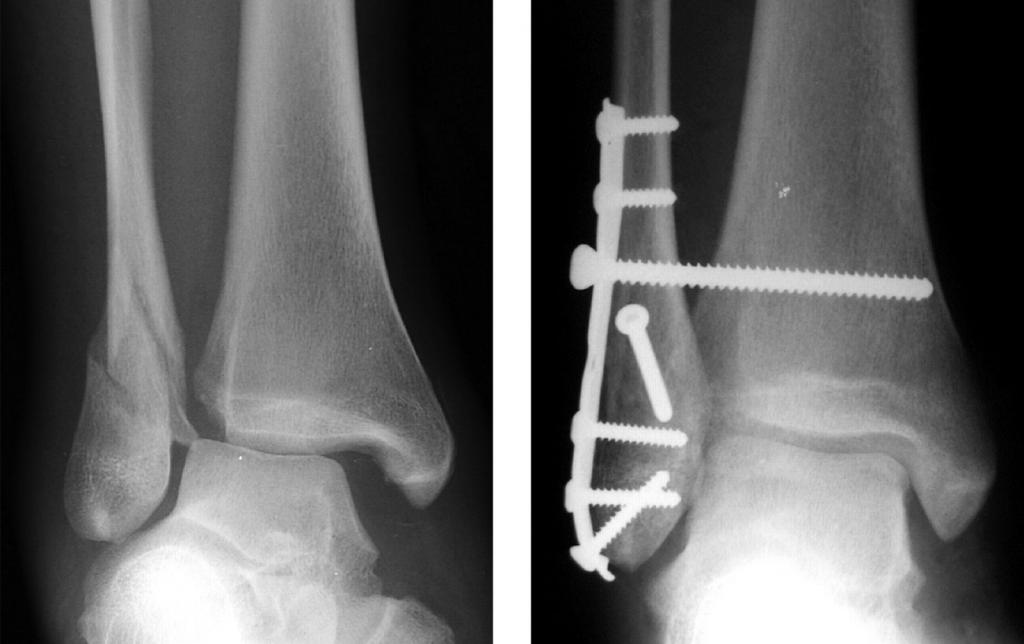
- Хирургический (сопряженный с проведением оперативных мероприятий). Его применяют при сложных открытых переломах или серьезных повреждениях со смещением осколков поврежденных костей, фиксацию которых производят с помощью специальных металлических спиц, штифтов, пластин, винтов и/или шурупов. Если после перелома лодыжки и удаления пластины болит нога, специалист назначает прием обезболивающих препаратов (в комплексе с другими реабилитационными мероприятиями). После эффективного сращивания сломанных костей металлические имплантаты полностью (или частично) удаляют.
Медикаментозные препараты
Применение медикаментозных препаратов специалисты назначают либо сразу же после обследования пациента, либо после наложения гипсовой повязки, либо после окончания операции. Для предотвращения воспалительных процессов и уменьшения болевого синдрома назначают прием таблеток или инъекции (в зависимости от фармакологического вида выпуска) «Ибупрофена», «Аспирина» или «Артрадола».
Применение «Витрума», «Рокальтрола», «Остеогенона», «Алкасты», «Этальфы» и других лекарственных средств (с повышенным содержанием кальция) способствует ускорению срастания и улучшению регенерации костных тканей. Нанесение гелей (например, «Кеторола», «Диклака», «Живокоста», «Финалгона» или «Аэсцина») улучшает кровообращение поврежденного участка, уменьшает отеки и боль.
Внимание! Длительность курса приема всех перечисленных лекарственных препаратов и их дозировку может назначить только квалифицированный специалист. Все будет зависеть от того, сколько времени болит нога после перелома лодыжки и как продвигается процесс восстановления функциональности поврежденной части конечности.
Физиотерапия
Для сокращения сроков восстановления полной функциональности поврежденной лодыжки проводят физиотерапевтические процедуры, которые являются неотъемлемой частью терапии, как в период непосредственного лечения, так и во время реабилитации. Так как они способствуют:
- улучшению кровообращения;
- рассасыванию гематом;
- уменьшению отечности;
- местному обезболиванию травмированного участка ноги;
- активизации обменных процессов.
Положительный терапевтический эффект достигается:
- прогреванием места перелома токами ультравысокой и сверхвысокой частоты;
- воздействием магнитных полей;
- ультрафиолетовым, инфракрасным или лазерным облучением;
- электрофорезом (с использованием специальных препаратов, содержащих кальций);
- аппликациями (парафиновыми или лечебными грязями).
Комплекс вышеперечисленных мер (конкретные процедуры и их периодичность) подбирается индивидуально для каждого больного (в соответствие с общим физическим состоянием и имеющимися противопоказаниями).
Лечебная гимнастика
Многие пострадавшие довольно часто задают вопрос: «Почему после перелома лодыжки болит стопа». Это можно объяснить, как общим посттравматическим синдромом, так и частичной атрофией двигательных мышц. Устранить этот весьма неприятный симптом помогут нормированные физические нагрузки.
Специалист по лечебной физкультуре определяет комплекс упражнений и интенсивность их выполнения в зависимости от характера повреждения и степени его заживления, а также с учетом возраста пациента. Первые несколько занятий проходят, как правило, под наблюдением врача. Впоследствии пациент выполняет упражнения самостоятельно. Причем, нагрузки на сустав (который продолжительное время находился в неподвижном состоянии) увеличивать надо постепенно.
Важно! Самостоятельно искать ответ на вопрос: «Почему болит нога после перелома лодыжки в процессе выполнения того, или иного упражнения», — не стоит. Занятия необходимо сразу же прекратить и обратиться за консультацией к специалисту.
Весьма эффективными методами лечебной физкультуры являются регулярные посещения бассейна и занятия на велотренажере (без нагрузки).
Фиксаторы
Гипс снят, вас выписали из больницы и разрешили самостоятельно передвигаться. Но, что делать, после перелома лодыжки нога болит все равно? В этом случае поможет применение специальных фиксирующих приспособлений (эластичных, жестких или полужестких). Именно они избавят человека от неприятного синдрома и послужат высокоэффективным профилактическим средством для предотвращения негативных последствий травмы. Естественно, не стоит бежать в ближайшую аптеку и «бездумно» приобретать первый попавшийся под руку бандаж или иммобилизационный протектор. Только опытный специалист может рекомендовать конкретную модель приспособления для правильного распределения нагрузки на поврежденной конечности при ходьбе. Он также подробно объяснит, как долго можно использовать такие изделия (в течение дня и всего срока реабилитации).
На заметку! Если после перелома лодыжки болит ступня, то весьма ощутимый терапевтический эффект наблюдается при применении специальных ортопедических стелек.
Рецепты народной медицины
После перелома лодыжки болит нога, что делать? Рекомендуем несколько советов народных целителей (весьма простых для повторения в домашних условиях):
- Прикладываем к месту повреждения компресс из натертого сырого картофеля, который позволяет снизить болевой синдром за достаточно короткое время.
- Для больной ноги делаем теплую ванночку с листьями герани. Такое простое средство служит не только природным анальгетиком, но и снижает отек.
Народные средства для приема внутрь:
- Лечебный «коктейль», смешанный из воды и равных частей соков огурца, сельдерея и моркови. Рекомендованная дозировка – один-два стакана в день.
- Половина чайной ложки (утром и вечером) мелкоизмельченной (до состояния муки) яичной скорлупы (предварительно прокипяченной в течение 1,5-2 минут) с успехом заменят лекарства, повышающие содержание кальция в организме.
Важно! Любые народные рецепты можно применять только после соответствующей консультации с лечащим врачом.
В заключении
Как долго болит нога после перелома лодыжки, напрямую зависит от степени тяжести травматического инцидента и от оперативности оказания квалифицированной медицинской помощи. Чем раньше приедет «скорая», тем меньше негативных последствий. А строгое соблюдение всех рекомендаций лечащего врача в посттравматический реабилитационный период поможет вам быстро вернуться к нормальной полноценной жизни.
Источник
Перелом лодыжки – травма не редкая, но сложная. И боль при таком повреждении является основным симптомом. Причем болеть нога может не только непосредственно после перелома, но и во время лечения, реабилитации. Когда пациенты на фоне медикаментозной анестезии чувствуют первое облегчение, сразу же начинают интересоваться, как долго болит нога после перелома лодыжки. И это не праздное любопытство или боязнь болевого синдрома, а надежда, что после снятия гипса уйдут все проблемы и возможность ходить появится сразу же. Попытаемся выяснить, насколько может затянуться восстановление, и что делать, если боли при переломе лодыжки не уходят.
Боль после перелома
Характер и интенсивность болезненных ощущений сразу после получения травмы будет зависеть от типа повреждения:
- Когда конечность ломается с внутренней стороны, болезненные ощущения провоцирует любое движение в суставе. Но пациенты продолжают ходить, наступая при этом на ребро стопы или же на пятку. При пальпации неприятные ощущения отдают в наружную сторону.
- Перелом лодыжки без смещения с наружной стороны дает резкую боль при повороте голеностопа в сторону. В месте перелома появляется иррадиационные боли при надавливании на саму лодыжку. Часто пациенты путают такую травму с ушибом и еще несколько дней продолжают становиться на ступню через болезненные ощущения.
- При повреждении со смещением болезненные признаки имеют острое проявление, и пациент не может стать на ногу. Нередко движения вызывают нестерпимые боли, так как осколочные части кости впиваются в ткани. Боль может быть настолько сильной, что провоцирует потерю сознания.
- Открытый перелом всегда сопровождается острыми непереносимыми болями, а также сильным кровотечением. Пациент может испытывать не только болевой, но и психологический шок.
В любом случае, человеку, получившему такую травму необходима первая помощь, включающая и обезболивающие мероприятия.
Первая помощь: как облегчить болезненные ощущения
До обращения к медикам нужно:
- успокоить пострадавшего;
- обездвижить конечность, не пытаясь вправлять или поворачивать ее;
- остановить кровотечение при открытом переломе, не дотрагиваясь до самой раны;
- наложить транспортную имобилизационную шину.
При нестерпимых болях человеку дают обезболивающее. Если пострадавший в сознании, ему дают анальгетик ненаркотического характера или препарат нестероидной группы. Можно воспользоваться Ибупрофеном, Диклофенаком, Индометацином, Парацетамолом.
Когда конечность сдавлена или же человек без сознания, аналогичные препараты вводят в виде инъекций. При наличии возможно применение наркотических анальгетиков типа Морфина, Промедола.
Правильно оказанная первая помощь позволяет избежать многих осложнений.
Способы лечения переломов лодыжки
Чтобы определиться с тактикой лечения, врач травматолог или хирург проводит визуальный осмотр ноги и обязательное рентгенологическое обследование, без которого поставить точный диагноз просто не возможно.
Лечение может проводиться как консервативным, так и хирургическим путём. Но довольно часто переломы в этом месте случаются сложные, требующие операции.
Консервативная терапия допускается при:
- закрытом переломе без смещения;
- сопутствующем небольшом повреждении связок;
- наличии смещения, которое возможно вправить одномоментно;
- противопоказаниях к проведению хирургического вмешательства.
Во всех других случаях требуется оперативное вмешательство.
Как проводится консервативное лечение
Для проведения ручной резекции необходимо обезболить место перелома. Процедура довольно болезненная, и пациент просто может не выдержать сильной боли и просто не позволит врачу провести все манипуляции должным образом. Поэтому вправление смещения практически всегда проводится с применением местной анестезии, реже общей.
Резкие боли могут беспокоить человека и при травме без смещения, если повреждены связки. В этом случае, чтобы так сильно не болело, дают выпить анальгетик или делают укол.
В любом случае на голеностоп накладывается гипсовая повязка, охватывающая всю стопу и заднюю часть голени. После наложения гипса обязательно проводится повторная рентгенография, чтобы убедиться в правильности расположении обломков.
Конечно, для иммобилизации суставов можно использовать специальные бандажи. Но врачи отказываются от такой практики, так как невозможно проконтролировать, как часто пациент снимает такой ортез. Можно услышать от человека, что уже на третий – пятый день после перелома понемногу хожу. Но такая практика ни к чему хорошему не приводит, так как велик риск повторных смещений и неправильного сращения костей.
Почему болит нога после наложения гипса
На протяжении 3 – 5 суток пациента еще могут беспокоить неприятные ощущения. Этому есть вполне логические объяснения.
В месте повреждения сохраняется воспалительный процесс, который сопровождается отечностью. Однозначно, пока не уйдут эти симптомы, нога будет болеть.
Поэтому пациенту рекомендовано:
- поменьше нагружать поврежденную конечность;
- держать ногу в приподнятом положении, чтобы обеспечить отток лимфы;
- принимать НВПС в таблетках при сильных болях.
Категорически запрещено наступать на ступню и даже опираться на пятку.
Если боль приобретает неестественный характер, нога немеет, теряется чувствительность, появилась синюшность пальцев, необходимо срочно обратиться к травматологу. Так как такие признаки говорят о неправильном наложении гипса.
Сколько носить гипс
Срок сращения костей у каждого пациента индивидуален. Поэтому время, сколько нужно носить гипс или бандаж определяется лечащим врачом:
- ребенку фиксатор накладывается сроком от месяца;
- взрослый человек обычно будет в гипсовой повязке от 1,5 месяца;
- пожилому пациенту потребуется более 2 месяцев для полного сращения.
Обычно до снятия гипса боли пациента беспокоят редко. Может появляться тяжесть и отечность в ноге. Из-за неправильного распределения нагрузки возникают неприятные ощущения в спине, в здоровой ноге.
Часто пациенты при продолжительном ношении гипса жалуются, что при ходьбе на костылях болит в области поясничного или грудного отдела позвоночника, болит пятка или колено здоровой ноги.
в качестве профилактики таких болей человеку рекомендовано ЛФК, направленное на укрепление мышц и улучшение кровотока именно в здоровой конечности и спине.
Пожилым людям для ходьбы и уменьшения нагрузки на руки спину, рекомендовано использовать не костыли, а ходунки.
Почему болит нога после снятия гипса
Гипс снимают только после проведения контрольного рентгена, который подтвердит, что кость срослась.
Появление боли сразу после снятия гипса – естественный процесс. Так как голеностопный сустав продолжительное время был обездвижен, в полости уменьшается объем синовиальной жидкости. Соответственно хрящи теряют свою эластичность, что приводит к потере подвижности. Поэтому любое движение дается пациенту с трудом, нередко через сильную боль.
К тому же после снятия гипса происходит стремительный приток крови и лимфатической жидкости к патологическому месту, что вызывает отечность. Отек давит на нервные окончания, что и провоцирует болезненные ощущения.
На фоне длительной иммобилизации теряют эластичность связки и тонус мышечные ткани. Поэтому любая нагрузка, требующая вовлечение в физиологический процесс связочный аппарат и мышцы, будет вызывать боль.
Что касается сроков восстановления после снятия гипса и продолжительности болей, все будет зависеть от:
- времени обездвиженности ноги;
- внутренних резервов и возраста человека;
- соблюдения рекомендаций по реабилитации.
В комплекс реабилитационных мероприятий после снятия гипса входит:
- применение наружных средств противовоспалительного, отвлекающего характера в виде мазей, компрессов;
- лечебная гимнастика;
- физиотерапевтические процедуры;
- массаж и самомассаж.
Обычно боли, связанные с отечностью, уходят через 2 – 7 дней. Что касается полного восстановления и безболезненной ходьбы, сроки могут варьироваться от месяца до трех.
Если боль не уходит, существует вероятность, что кость срослась неправильно и болезненные ощущения появляются, как проявление осложнений.
Даже после полного восстановления пациенты могут жаловаться на периодические боли, которые связаны с повышенными нагрузками на ногу, а также ломотой в костях на погоду.
Особенности оперативного лечения
При сложных, открытых, застарелых переломов, а также в случае повреждения обеих конечностей, проводится операция. Метод анестезии выбирается в зависимости от сложности травмы и общего состояния здоровья пациента.
После проведения операции на ногу накладывается гипс с открытым доступом к ране. Обязательно делают контрольную рентгенограмму.
Способы устранения боли после операции
Для купирования сильных болезненных ощущений, особенно сразу после операции и снятия гипсовой повязки, пациенту рекомендовано принимать нестероидные препараты типа Диклофенака, Найза. Нурофена, Ибупрофена.
Хорошим обезболивающим эффектом при переломах обладает Кетарол и Седалгин, но такие препараты вызывают привыкание и требуют увеличения дозировки.
Детям рекомендовано давать Нурофен.
Применение наркотических анальгетиков возможно только в условиях стационара. Их применяют сразу после операции, а также при множественных повреждениях.
Сроки восстановления после операции
На протяжении первых трех недель пациенту рекомендован постельный режим с полным исключением нагрузки на конечность. Перемещаться на костылях разрешают через 3 – 4 недели после вмешательства.
Гипсовую повязку снимают через 2 – 3 месяца, после чего необходимо еще пару недель накладывать эластичный бинт на место повреждения.
Если применялись скрепляющие конструкции в виде болтов, штифтов, винтов, гвоздей, их удаляют спустя 4 – 6 месяцев, для чего требуется повторное оперативное вмешательство. Не удаляются титановые фиксаторы.
Передвигаться без костылей пациенту разрешают спустя 3 – 4 месяца после повреждения. Сроки полного восстановления функциональности голеностопа после снятия гипса могут варьироваться в пределах 3 месяцев – 2 лет.
Соответственно, до полного восстановления подвижности пациента могут беспокоить постоянные или периодические боли.
Видео
Видео — Гимнастика после перелома

Мероприятия во время реабилитации
Независимо от способа лечения и сроков восстановления, пациенту после снятия гипсовой повязки рекомендовано начинать реабилитационную терапию, которая обычно включает гимнастику, массаж и физиотерапевтические процедуры.
Лечебная гимнастика
ЛФК помогает устранить тупоподвижность и назначается через неделю после снятия гипса. Упражнения подбираются инструктором индивидуально. Разрабатывать сустав на первых этапах лучше в теплой воде. В ванночку можно добавлять немного соли, что поможет быстрее убрать отечность.
Главное, нагрузки увеличивать постепенно, не стараясь через боль ускорить процесс.
Комплекс упражнений для разработки голеностопа может включать:
Сгибание, разгибание ступни;
- Вращательные движения в голеностопе;
- Хождение на носочках или пятках;
- Перекаты с носков на пятки;
- Катание мячика ступнями;
- Хватательные движения пальцами ступни.
На более поздних этапах моно подключать тренировки на тренажерах, езду на велосипеде, пешие прогулки.
Для хождения обязательно используют ортопедические стельки. Сустав во время ходьбы и тренировок фиксируют эластичным бинтом или надевают специальный бандаж.
Массаж
Массажные процедуры начинают сразу после снятия гипсовой повязки. Первые разы необходимо применение обезболивающих мазей, так как любые прикосновения будут вызывать боль. По мере разработки связок, приведения мышечных тканей в тонус болезненные ощущения будут уходить.
Однозначно, необходим профессиональный подход к решению проблемы. Но пациенту можно утром, вечером, а также перед и после гимнастики делать самомассаж. Для этого больное место растирают, гладят, разминают, потряхивают без сильных нажимов.
Хорошо себя зарекомендовал массаж с медом, который обычно делают после разогрева сустава.
Физиотерапевтические процедуры
Физиовоздействие на место повреждения назначают на 3 – 10 день непосредственно после наложения гипсовой повязки.
Обычно назначаются процедуры:
- электрофореза с кальцием;
- магнитотерапии;
- ультрафиолетового облучения;
- инфракрасной лазерной терапии;
- УВЧ;
- экстракорпорального ударно-волнового лечения.
Продолжительность воздействия, длительность терапии и вид процедуры подбирается доктором, в зависимости от сложности перелома, скорости заживления, а также наличия металлических крепежей.
Обычно комплекс реабилитационных мероприятий включает несколько методов, и при соблюдении пациентом рекомендаций боли уходят по мере восстановления подвижности конечности.
Но человек должен быть готов к тому, что периодически место перелома будет давать о себе знать даже после полного восстановления, так как ни одно повреждение не проходит бесследно.
Похожие статьи
Источник








