До своей врачебной деятельности в качестве онколога я в течении полугода проработала терапевтом. За это время ко мне чуть ли ни каждый день приходил как минимум один больной с болью в спине и просьбой дать ему направление на «магнит» (метод физиолечения, если кто вдруг не знает). На что я с присущим мне упрямством каждый раз спрашивала — а вам рентген позвоночника кто-нибудь делал? Почти каждый второй пациент отвечал мне «Нет, не делали. А зачем? Просто дайте мне направление и не умничайте, девочка!»
Направление, понятное дело, я никому не давала, за что постоянно нарывалась на жалобы, нецензурную брань и даже угрозы… Вот только уже тогда я мыслила как онколог и всегда помнила об одной простой вещи — боль в позвоночнике может быть раком. А если это так, то назначение любой физиопроцедуры без утонения того что же там, не только спровоцирует ускоренный рост вашей опухоли, но и способствует более быстрому развитию метастазов! Онкологи это называют «нагрели». Так что пока я тщетно беспокоилась за чьё-то здоровье, меня обзывали и всячески отправляли на разборки к заведующей))) Но не об этом сегодня.
В этой статье я хочу рассказать о тех признаках, которые вам помогут заподозрить опухолевую природу боли в позвоночнике, и о том, какая тактика обследования при этом должна быть.
Если говорить про опухолевую природу боли в позвоночнике, то её причинами может быть 3 состояния:
1) Метастазы (к сожалению, это самая частая причина. Рак любой локализации чаще всего даёт метастазы именно в кости, в частности — позвоночник, а потому в первую очередь мы должны исключать эту причину. Зачатую, в принципе какой-либо рак впервые находится уже по такому позднему признаку, как боль в спине, где выявляются метастазы).
2) Множественная миелома (раньше её называли «миеломная болезнь»). Это опухолевое заболевание крови (относится к разделу гематологии), при котором опухоль развивается из B-лимфоцитов и плазмоцитов — клеток иммунной системы. При этом заболевании позвоночник поражается в 80% случаев. При этом в нём формируется мягкотканная опухоль из плазмоцитов, которая медленно, но верно его разрушает.
3) Первичная опухоль позвоночника (первичная — означает, что опухоль изначально образовалась в самом позвоночнике, а не попала туда в качестве метастаза из какого-то другого органа). Это самая редкая причина. За 2 года работы онкологом я ни разу таких опухолей не видела. По крайней мере, именно злокачественных.
А теперь о симптомах. Какие признаки болей в спине должны вас насторожить и помогут заподозрить один из 3х перечисленных ранее вариантов?
1. Характер боли.
Для костной боли, причиной которой является опухолевое поражение, характерен постоянный характер боли. Если такая боль появилась, то она не исчезнет. Она может быть сильнее, или слабее, но как правило, со временем, нарастает.
При метастазах или первичном поражении костной ткани боли при движениях
усиливаются, и утихают, или даже вовсе временно исчезают в спокойном состоянии до следующего движения. При этом чаще боль располагается в пояснично-крестцовом отделе позвоночника.
При миеломной болезни всё с точностью да наоборот. Если перебороть себя и заставить через боль хоть то-то делать (ходить, двигаться, делать лёгкую гимнастику и т.д.), в последующем она наоборот может уменьшиться и хоть полностью и не исчезнет, но останется в таком фоновом режиме, когда уже сильно не беспокоит. Чем меньше движения в жизни больного с миеломной болезнью, тем больше скованности у него появляется, и тем сильнее становятся боли. При этом поражается чаще грудной отдел позвоночника.
2. Время возникновения.
Для опухолевого поражения костей типичны именно ночные боли! Как правило, такая боль либо появляется, либо нарастает в ночное время, что, зачастую, лишает человека и его близких любого сна.
3. Сопутствующие симптомы.
Есть целый список симптомов, которые в совокупности с болью в позвоночнике должны навести вашего лечащего врача на мысль «а не рак ли там?»:
- Повышение температуры тела до 37,0-37,5С, не выше. Обычно такое повышение характерно в вечернее время и само собой проходит в утренние часы.
- Ночная потливость. Это симптом чаще миеломной болезни, когда ночью с вас может сойти семь потов. Но бывает ночной озноб и просто при раке.
- Похудание. Беспричинное снижение массы тела, не связанное со стрессом или диетами. Здесь речь идёт не о 2-3 кг, а о 5-10 кг в течении последних 3-4 месяцев.
- Снижение роста. Зачастую, первым признаком может служить снижение роста больного, когда за счёт разрушение костной ткани позвоночника происходит оседание его позвонков. Наиболее характерен этот признак для миеломной болезни.
- Компрессионный перелом. Иногда при выполнения рентгена позвоночника могут поставить такой диагноз. Если у вас была серьёзная травма позвоночника, к примеру, падение, автомобильная катастрофа и т.д. + возрастной остеопороз, тогда такой перелом объясним. Но если при обследовании по поводу болей в спине вам пишут такой диагноз без травмы — первое о чём должен подумать ваш доктор — а не опухолевое ли это разрушение позвонков?
Если хотя бы один из вышеперечисленных пунктовсопровождает вашу боль в спине — это повод для немедленного обращения к врачу. Замечу, что не стоит сразу же с этим бежать к онкологу! Онколог — это узкий специалист, к которому нужно приходить уже ПОЛНОСТЬЮ обследованным!!!А потому обратитесь первоначально к терапевту или неврологу, пройдите все необходимые обследования, и только после этого, есличто-то будет выходить за пределы нормы, и на то будут определённые показания, доктор сам вас запишет на приём к нужному специалисту.
Минимальный набор обследований, который вам необходимо пройти:
- Общий анализ крови,
- Общий анализ мочи,
- Биохимический анализ крови,
- Флюорография лёгких,
- Рентгенография позвоночника в 2х проекциях,
- Консультация терапевта, невролога.
Уточняющие методы, к которым следует прибегнуть при выявлении патологии хотя бы в одном из обследований:
- Компьютерная томография с контрастным усилением позвоночника,
- Анализ мочи на белок Бенс-Джонса (при подозрении на множественную миелому),
- Консультация онколога (при подозрении на метастазы в кости или первичное поражение костей скелета),
- Консультация гематолога (при подозрении на множественную миелому).
Что ж, надеюсь, я смогла пролить свет на важность обследования болей в спине! Не нужно лечить физиопроцедурами или любыми другими лекарственными средствами то, что ещё не обследовано, даже если вы полностью по каким-то причинам уверенны в вашем диагнозе!!!
Будьте здоровы и берегите себя и своих близких!
———————————————-
Также вам могут быть интересны статьи:
———————————————-
Пожалуй, лучший экс-онколог, Марина Сыскова)
Источник
Онкологические заболевания на ранних стадиях имеют множество нетипичных симптомов, заподозрить по которым их очень сложно. Однако ранняя диагностика, своевременное начало терапии помогают сделать лечение рака более успешным. Поэтому важно отслеживать у себя появление нетипичных симптомов тяжелого заболевания. Иногда возникает боль в спине при онкологических заболеваниях. Материал рассказывает, почему происходит, о чем свидетельствует, какие меры следует предпринимать при ее появлении.
Почему болит спина при онкологии?
Боли в спине могут быть признаком рака мягких тканей, внутренних органов. Основная причина, по которой проявляются спинные боли при развитии онкологического процесса – эродирование неприятных ощущений позвоночнику. В спинномозговом канале расположено большое количество нервных пучков, нервы из которых расходятся от позвоночного столба различным частям организма, органам. На других участках организма находятся нервные пучки («солнечное» сплетение – наиболее крупный), от которых нервы отходят к разным органам, тканям, в том числе, спине.
Развиваться клиническая картина способна по нескольким сценариям:
- При онкологическом процессе организма атипичные клетки активно делятся, образуя опухоль, разрастание тканей. Новообразование может сдавливать нервные окончания (в зависимости от своего расположения). Если злокачественное образование сдавило нерв, имеющий точку выхода на спине, то боль будет эродировать туда.
- Аналогичным образом, если образование сдавливает нерв, исходящий из позвоночника, то боль будет возникать в месте сдавливания. Эродировать может в другие участки, органы, ткани. Вызывать состояние способны доброкачественные, недоброкачественные образования.
- Еще одна причина, по которой может развиться симптоматика – сдавливание опухолью, локализованной в мягких тканях спины, кровеносных сосудов, артерий. Давление в них повышается из-за невозможности нормального тока крови. Возникают неприятные ощущения;
- Редкая, но все же возможная, причина болей при раке – реакция мышц на наличие новообразования. Могут реагировать спазмом, гипертонусом, защемляя нервную ткань, сдавливая сосуды. Реагировать способны на доброкачественное, недоброкачественное образование.
В редких случаях рак провоцирует воспалительный процесс из-за снижения местного иммунитета органов и тканей. Воспалительный процесс протекает с сильной болью, боль по нервным окончаниям может эродировать в спину. То есть, непосредственное сдавливание отсутствует. Отсутствовать может еще даже сама опухоль.
Важно помнить, что случаев, когда боль бывает признаком онкологического процесса, очень мало. Только у 0,7% пациентов, обратившихся к врачу со спинной локализацией боли, был поставлен диагноз «рак». Потому излишне паниковать не стоит.
к содержанию ↑
Как болит спина при раке?
Характерный тип неприятных ощущений в спине при онкологических заболеваниях изменяется в зависимости от пораженного органа, откуда эродирует боль. Наиболее характерными можно назвать следующие типы дискомфорта:
- При локализации патологического процесса в поджелудочной железе защемление очень возможно – там располагается «солнечное» сплетение – крупный нервный узел. Боли в спине при раке поджелудочной железы опоясывающие, распространяются на живот, бока, поясницу, нижнюю часть спины. Отличаются высокой интенсивностью, тяжело купируются препаратами, но ослабляются при вынужденном наклоне туловища вперед, пребывании пациента в коленно-локтевой позе, т. к. компрессия ослабляется;
- При раке желудка сильно болит спина непосредственно за пораженным органом, не имеет опоясывающего характера, но может ослабляться при наклоне туловища вперед;
- Если опухоль локализуется в мягких тканях собственно спины, то боли могут отдавать в ногу. Часто сопровождаются онемением ноги, покалыванием в ней, частичными/полными, длительными/кратковременными параличами;
- При раке предстательной железы у мужчин характерны сильные боли пояснично-крестцового отдела позвоночника. Это является признаком активного распространения метастаз на костный мозг или защемления нервных окончаний крестца опухолью;
- Боли грудного отдела позвоночника характерны для женщин, страдающих раком молочной железы. Опять же, речь идет об активном распространении метастаз на спинной мозг, травмировании собственно нервов. Дискомфорт острый, крайне интенсивный, не проходит в покое, не зависит от смены позы (сходный характер боли у мужчин при развитии онкологического поражения предстательной железы).
Как болит спина при раке? По симптоматике дискомфорт иногда является совсем неспецифичным. По сути, неприятные ощущения возникают потому, что защемлен нерв. Появляется соответствующая клиническая картина, типичная для защемления нерва – боли при смене позы, усиление дискомфорта при подъеме тяжестей, чрезмерной нагрузке, гиподинамии. Потому необходимо внимательно относиться к сопутствующей симптоматике, а при ее обнаружении немедленно обращаться к врачу.
к содержанию ↑
Как снять боль в спине?
Снятие болей зависит от причин, которые их вызвали. Больному следует понимать, что его состояние очень серьезно, прием медикаментозных препаратов самостоятельно недопустим. Любое лекарственное средство должно приниматься только по согласованию с лечащим врачом.
При защемлении нерва показано употребление нестероидных противовоспалительных препаратов (Ибупрофен, Нурофен) по 1 таблетке 3р./день. Некоторые противопоказаны при онкологии, но даже если разрешены к употреблению, то дозировки должны рассчитываться индивидуально.
Дискомфорт, возникающий при распространении метастаз снять очень сложно. Используются наркотические анальгетики, прописываемые индивидуально, отпускаемые рецептурно.
Вне зависимости от типа проблемы, имеются четыре строгих противопоказания:
- Массажи напряженных мышц, болезненных зон;
- Нагревание их, местное или общее;
- Физиотерапевтические процедуры;
- Использование массажеров.
Методы под запретом для пациентов с онкологией (потенциально способны вызвать интенсивное разрастание атипичных тканей, распространение метастаз).
к содержанию ↑
Чем лечится рак?
Общие методы лечения рака индивидуальны. Терапия, чаще всего, включает этапы:
- Хирургическое вмешательство;
- Лучевая терапия;
- Химиотерапия;
- Применение иммуномодуляторов;
- Гормональная терапия.
Комбинации методов онколог назначает индивидуально. Терапия позволяет значительно снизить прогрессирование патологии.
к содержанию ↑
Вывод
Крайне редко позвоночные боли являются признаком онкологического заболевания. Однако если ранее оно было перенесено, или имеется предрасположенность, пациенту стоит быть внимательнее. Раннее начало лечения способно значительно продлить жизнь пациенту, улучшить ее качество.
Источник
Боли в спине при онкологии встречаются достаточно часто и являются одним из признаков, который требует внимания. Для достоверного выяснения причин, происхождения, характера и степени выраженности изменений назначается объективная диагностика, на основании которой в последующем подбираются терапевтические мероприятия. В зависимости от тканевого происхождения опухоли и степени злокачественности оценивается последующий прогноз для жизни и здоровья человека.
Может ли болеть спина при раке
Метастазы в позвоночнике, сдавливающие спинной мозг
Раковая опухоль образуется из клеток с генетическими изменениями, которые приобрели чужеродные свойства. Злокачественное новообразование приобретает ряд свойств, которые способствуют развитию болевых ощущений:
- Быстрый рост – клетки обладают способностью к неконтролируемому делению, поэтому объем тканей быстро увеличивается, что приводит к механическому сдавливанию чувствительных нервных окончаний, расположенных рядом.
- Агрессивный рост – раковые клетки обладают способностью к инфильтративному росту, при котором они повреждают близлежащие неизмененные ткани и нервные окончания с появлением выраженных болевых ощущений.
- Метастазирование – клетки раковой опухоли распространяются с током крови и лимфы, где дают начало росту вторичной опухоли. Это приводит к тому, что болевые ощущения появляются в других частях тела.
Прогрессирование онкологического процесса часто сопровождается развитием воспалительной реакции. При этом иммунокомпетентные клетки вырабатывают биологически активные соединения простагландины, которые раздражают чувствительные нервные окончания, приводят к отеку тканей, что усиливает болевые ощущения.
Боль в спине может быть признаком рака поджелудочной железы
Боли в спине могут быть признаком рака, при котором первичные новообразования локализуются непосредственно в области позвоночника.
- Остеосаркома – опухоль происходит из костной ткани и локализуется в позвонках или задней части ребер.
- Саркома – агрессивное злокачественное новообразование, берущее свое начало из соединительной ткани. Первичная локализация онкологического процесса часто затрагивает связки и сухожилия различных отделов позвоночника.
- Рак поджелудочной железы – заболевание приводит к опоясывающей боли в области верхней части поясницы, одновременно нарушается процесс пищеварения.
- Рак почки – формирование злокачественного новообразования сопровождается выраженной болью в нижней части поясницы, которая локализуется слева или справа от позвоночного столба.
Дискомфорт в спине нередко бывает результатом метастазирования злокачественных новообразований, которые имеют отдаленную локализацию. К ним относятся рак молочной железы, шейки матки, яичников у женщин, злокачественное новообразование яичек, простаты у мужчин, опухоли легких, печени, пищевода, желудка, кишечника, в частности толстой и прямой кишки.
Характер и локализация боли
Рак поджелудочной или печени сопровождается нарушением пищеварения и вздутием живота
На основании дополнительных клинических симптомов, включая характер и локализацию болевых ощущений, можно сделать первичное заключение о происхождении онкологического процесса.
- Первичные опухоли опорно-двигательной системы, которые в различной степени затрагивают позвоночник – боль локализуется посередине спины сверху или снизу ближе к пояснице и копчику. Дискомфорт нередко усиливается во время движений, наклонов туловища, длительного нахождения человека в одном положении, выполнения глубокого вдоха или выдоха. Если происходит защемление спинномозговых корешков в месте выхода из канала позвоночника, боль отдает в руку или ногу. Одновременно немеет кожа и снижается мышечная сила соответствующей локализации, что связано с нарушением прохождения импульса по чувствительным и двигательным волокнам.
- Опухоли внутренних органов, которые локализуются вблизи позвоночника – рак поджелудочной железы нередко сопровождается нарушением процесса пищеварения. Беспокоит вздутие живота, неустойчивый стул. При закупорке общего желчного протока опухоли нет оттока желчи, поэтому развивается желтуха. Новообразование почки сопровождается появлением крови в моче, развитием почечной недостаточности. Боли в пояснице при раке органов мочевыделительной системы имеют одностороннюю локализацию.
- Метастазы других злокачественных новообразований в тканях области спины характеризуются болью, которая имеет множественную локализацию, а также нарушением функционального состояния органа, пораженного первичной опухолью.
На поздних стадиях развития злокачественного новообразования независимо от тканевого происхождения и локализации первичной опухоли развивается специфическая интоксикация. Продукты жизнедеятельности раковых клеток приводят к отравлению организма. Это сопровождается повышением температуры тела, выраженной слабостью, ухудшением аппетита. Человек худеет в течение небольшого периода времени вплоть до кахексии.
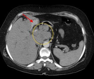
Методы диагностики и лечения
Рак поджелудочной железы на снимке КТ
Для успешного лечения онкологической патологии важно выявить новообразование на ранних стадиях развития. Для этого используются скрининговые методики исследования. С целью определения локализации, размеров и формы опухоли назначаются методики визуализации. К ним относятся рентген, компьютерная, магнитно-резонансная томография, ультразвуковое исследование. Оценка функционального состояния организма осуществляется при помощи лабораторных исследований, к которым относятся клинический анализ крови, мочи, биохимические пробы.
Лечение направлено на удаление новообразования. При небольших размерах опухоли и отсутствии метастазов прогноз благоприятный. Спину удается обезболивать в течение небольшого промежутка времени без использования анальгетиков. При необходимости дополнительно назначается химиотерапия и облучение. Назначаются цитостатики, которые представляют собой лекарственные средства, подавляющие деление раковых клеток, а также способствующие их гибели. Суть лучевой терапии заключается в воздействии ионизирующего излучения на ограниченные области с опухолью. При этом в первую очередь повреждаются и погибают клетки с высоким уровнем метаболизма, которые находятся в состоянии быстрого деления. Химиотерапия и облучение на поздних стадиях развития злокачественного новообразования назначаются в качестве средства поддерживающего лечения, направленного на замедление роста.
Существуют нетрадиционные методы лечения онкологической патологии, при которых применяется перекись водорода, сода, но их способность снимать боль и эффективность остается не доказанной.
Если начинает заболевать спина, лучше сразу обратиться к врачу, который на основании клинической картины определит дальнейшую лечебно-диагностическую тактику. Нельзя бояться диагностирования онкологической болезни, так как своевременное лечение дает хороший прогноз.
Профилактика раковых опухолей включает различные рекомендации здорового образа жизни, которые хорошо изложены в книгах профессора Неумывакина.
Источник



